Services
ORTHODONTICS FOR CHILDREN AND ADULTS
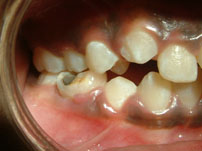
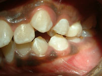
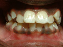
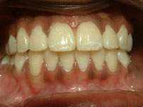
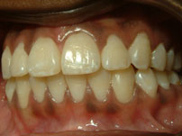
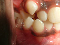
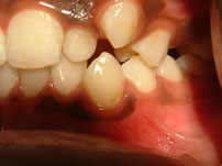
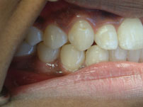
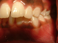
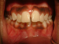
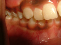
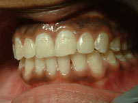
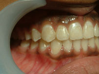
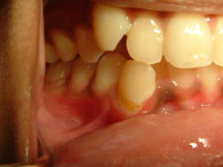
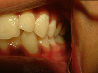
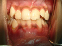
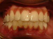
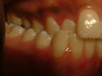
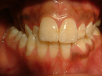
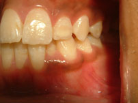
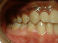
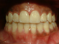
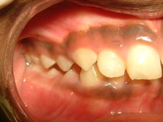
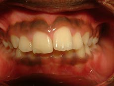
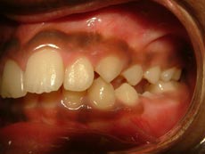
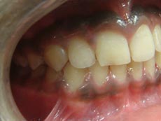
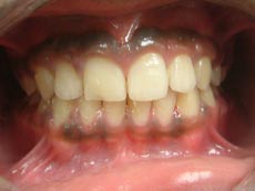
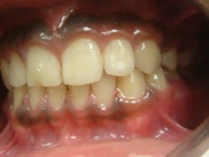
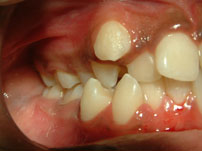
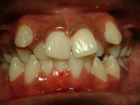
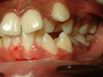
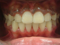
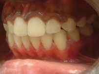
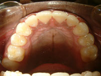
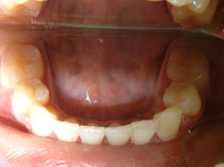
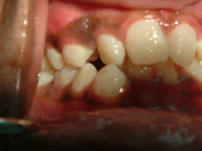
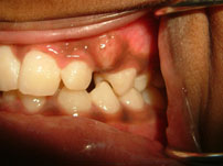
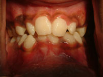
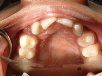
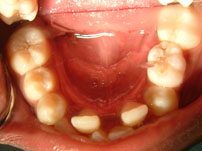
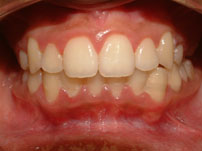
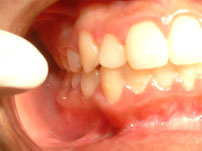
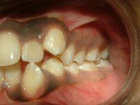
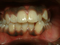
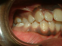
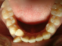
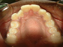
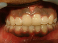
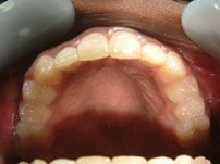
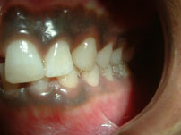
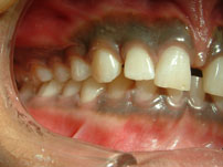
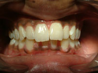
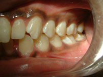
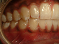
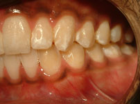
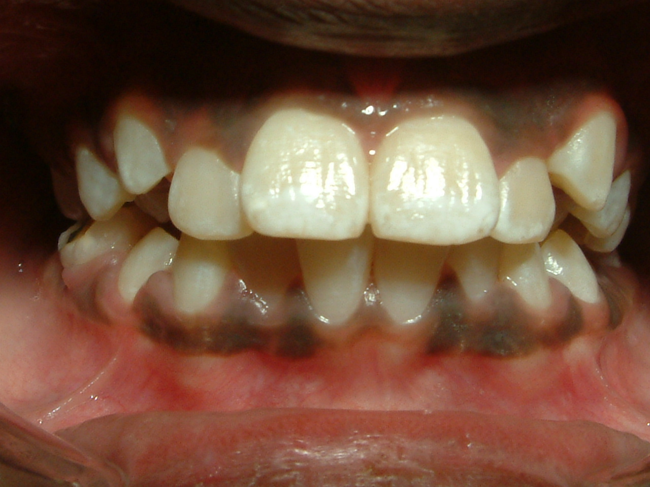
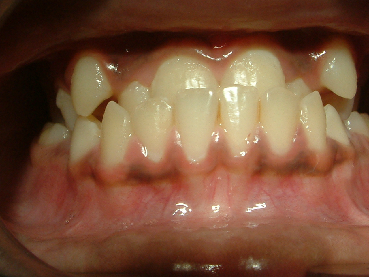
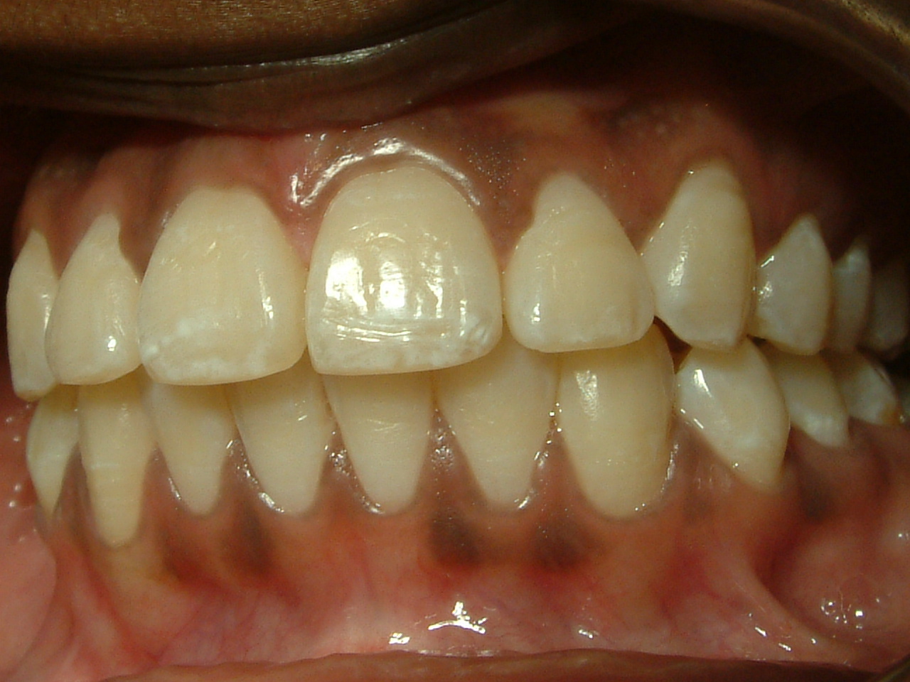
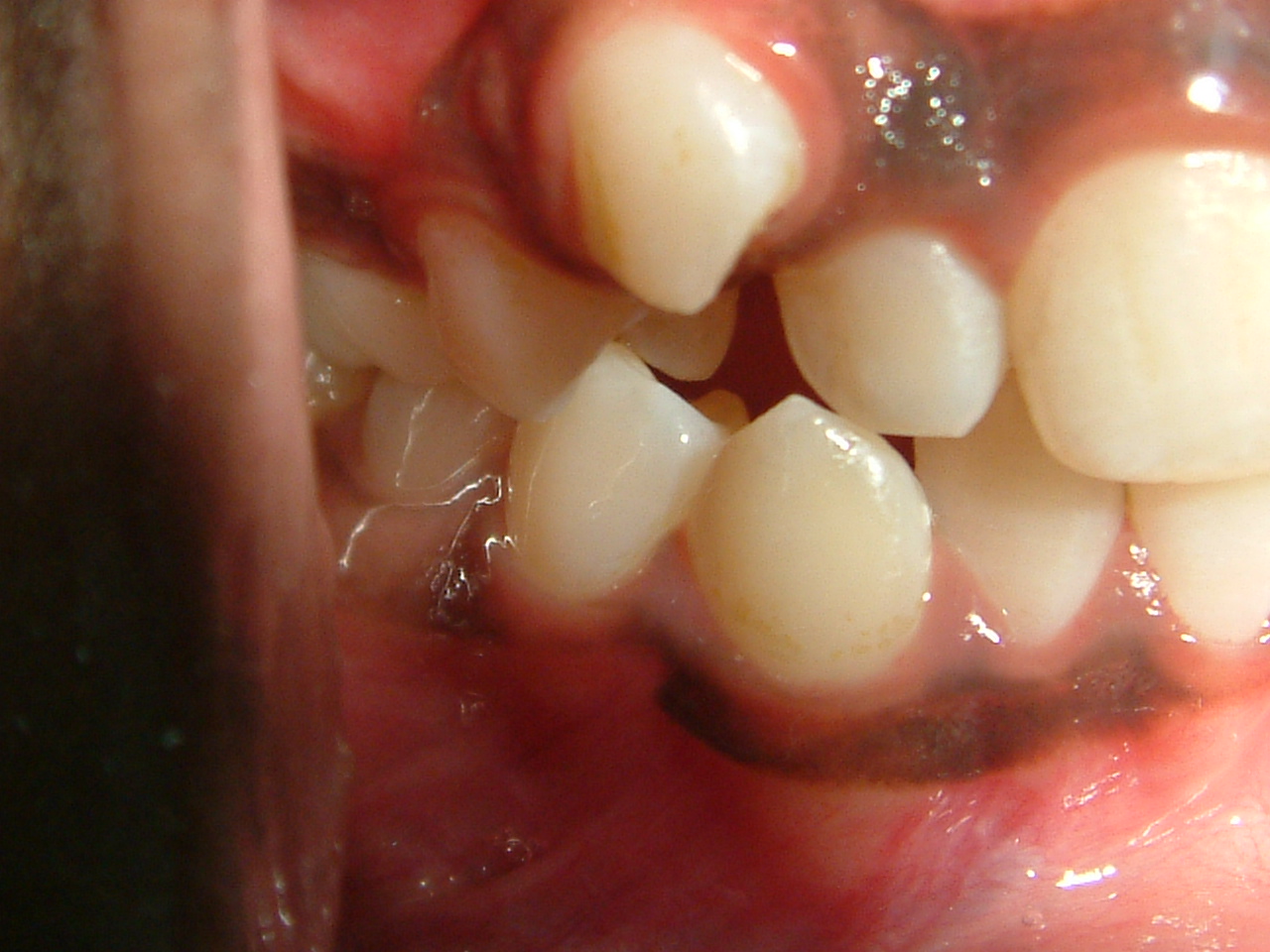
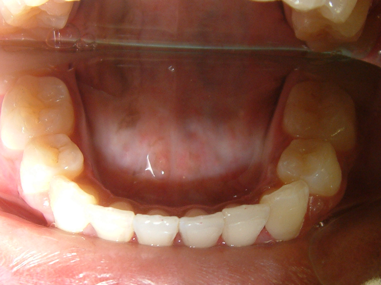
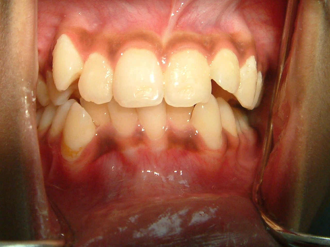
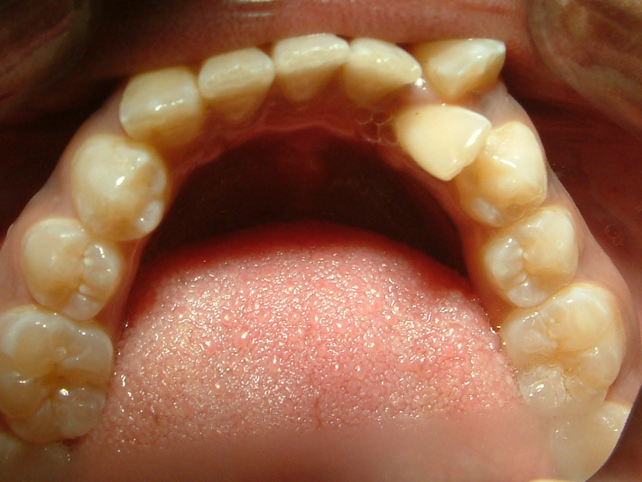
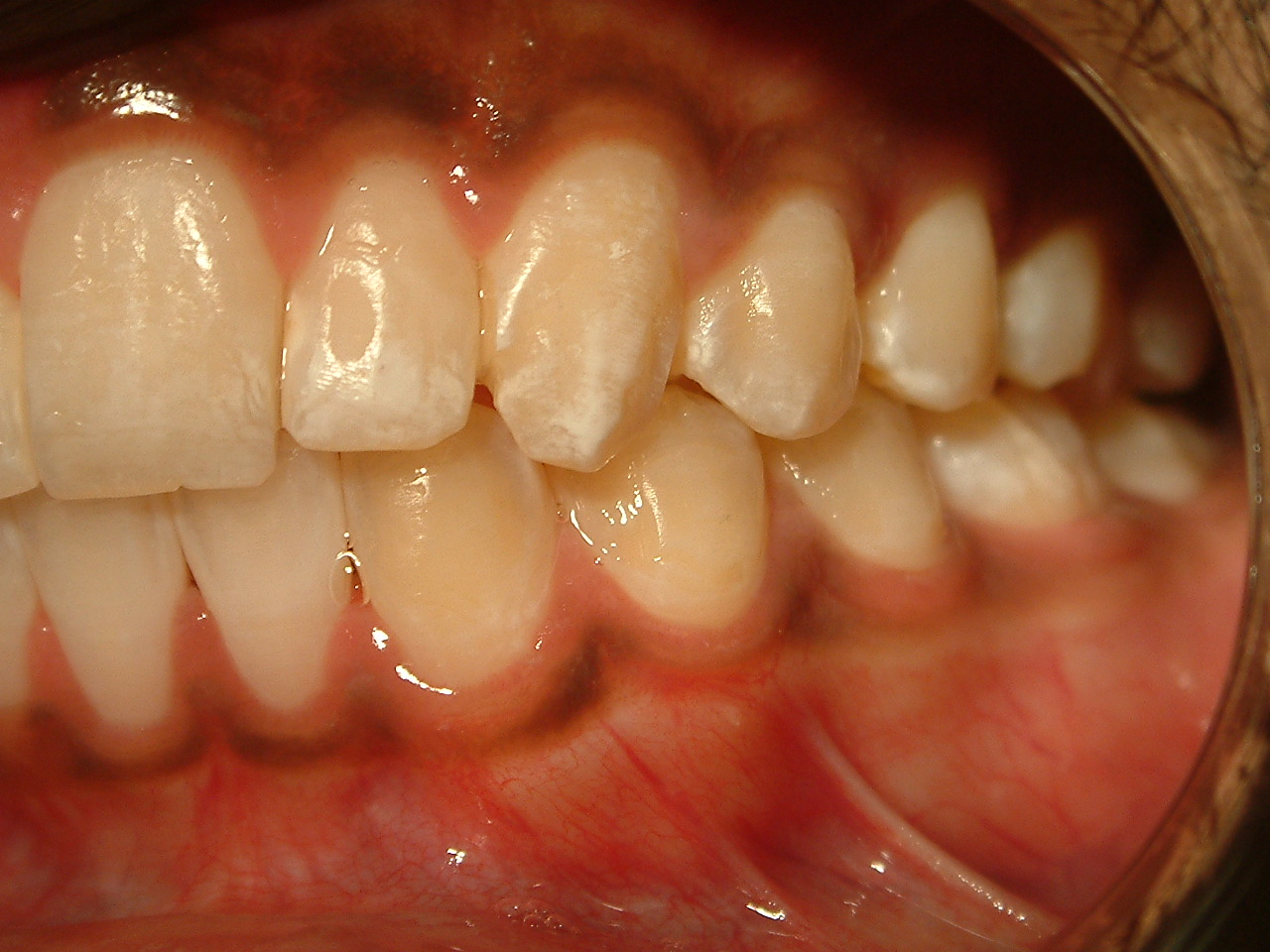
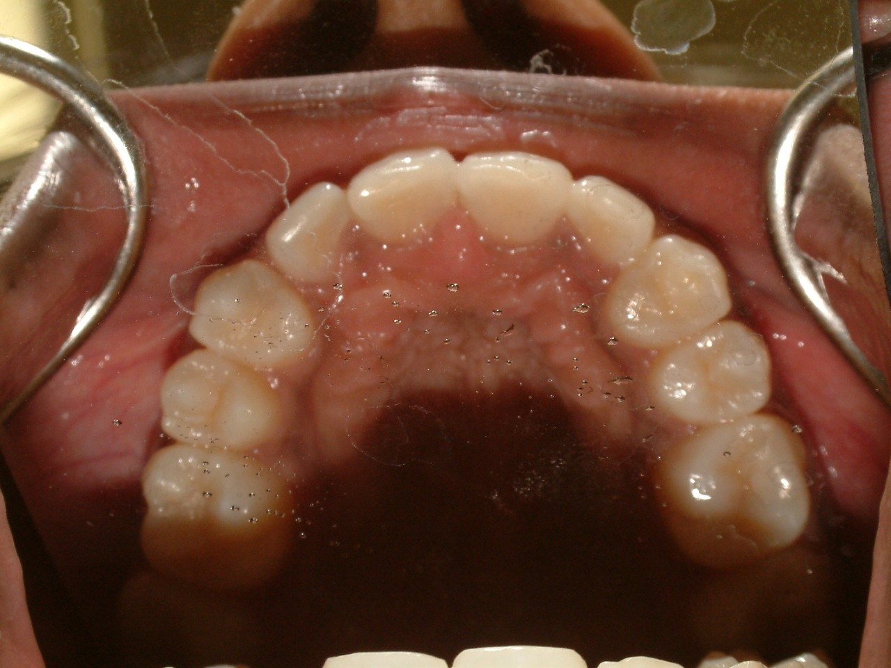
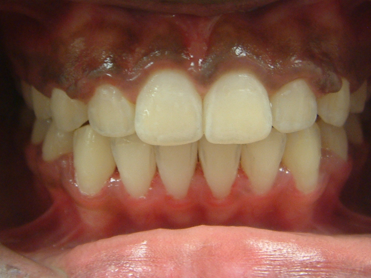
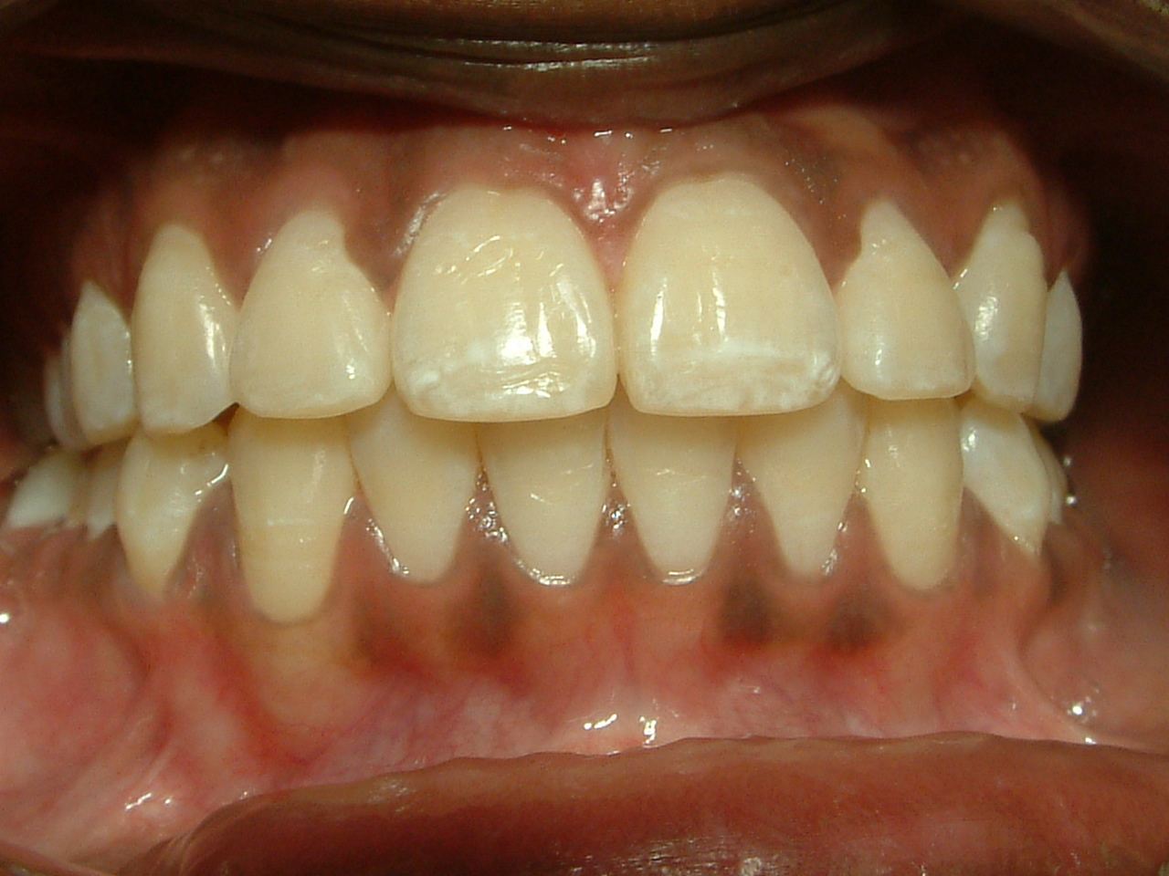
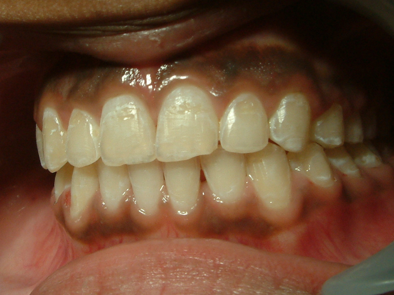
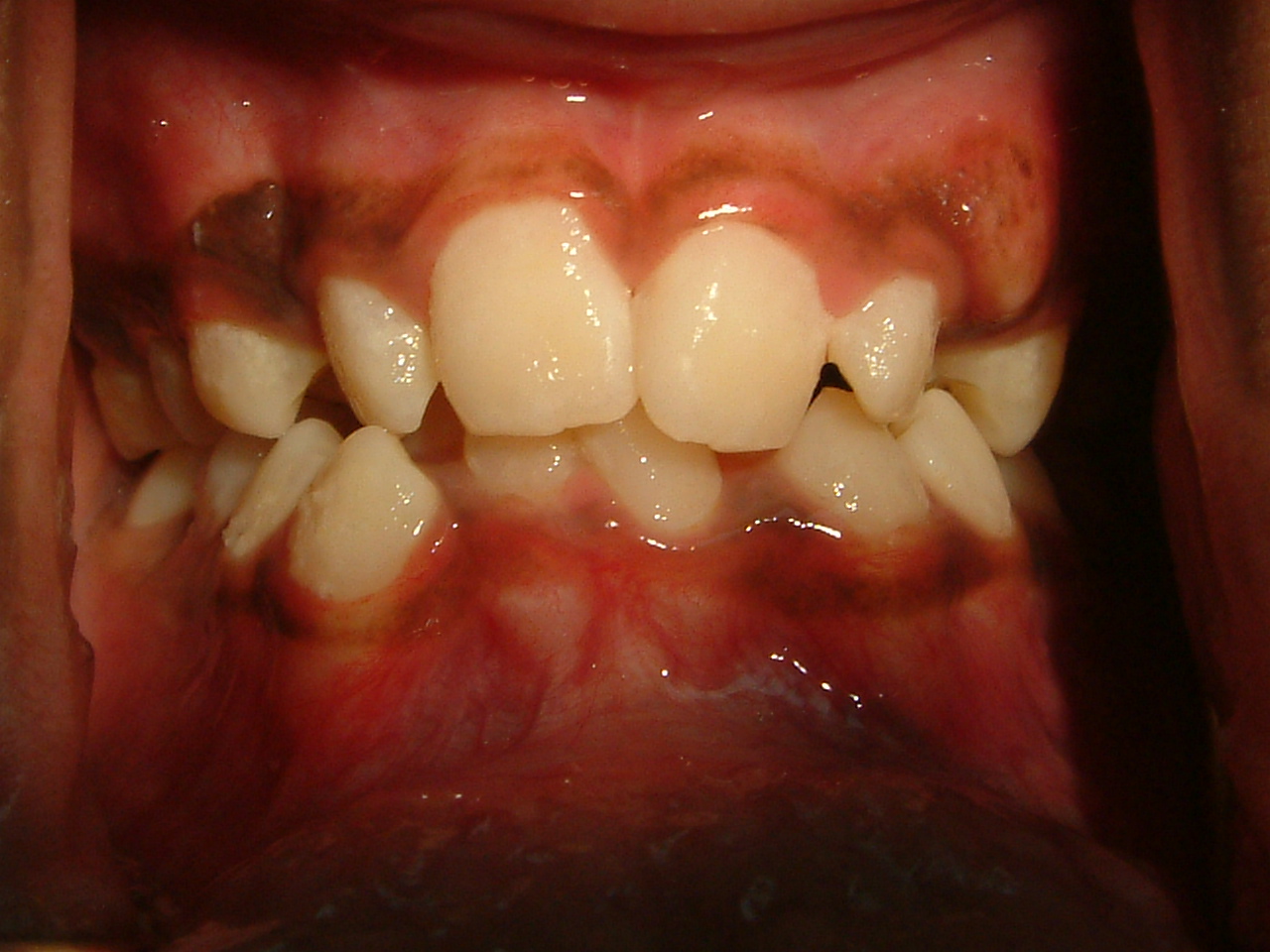
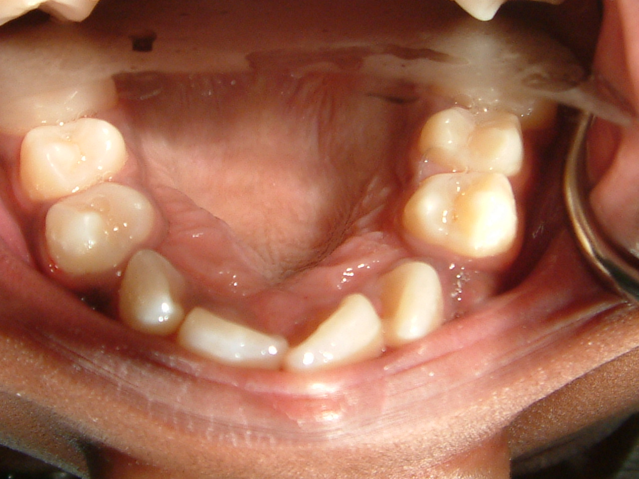
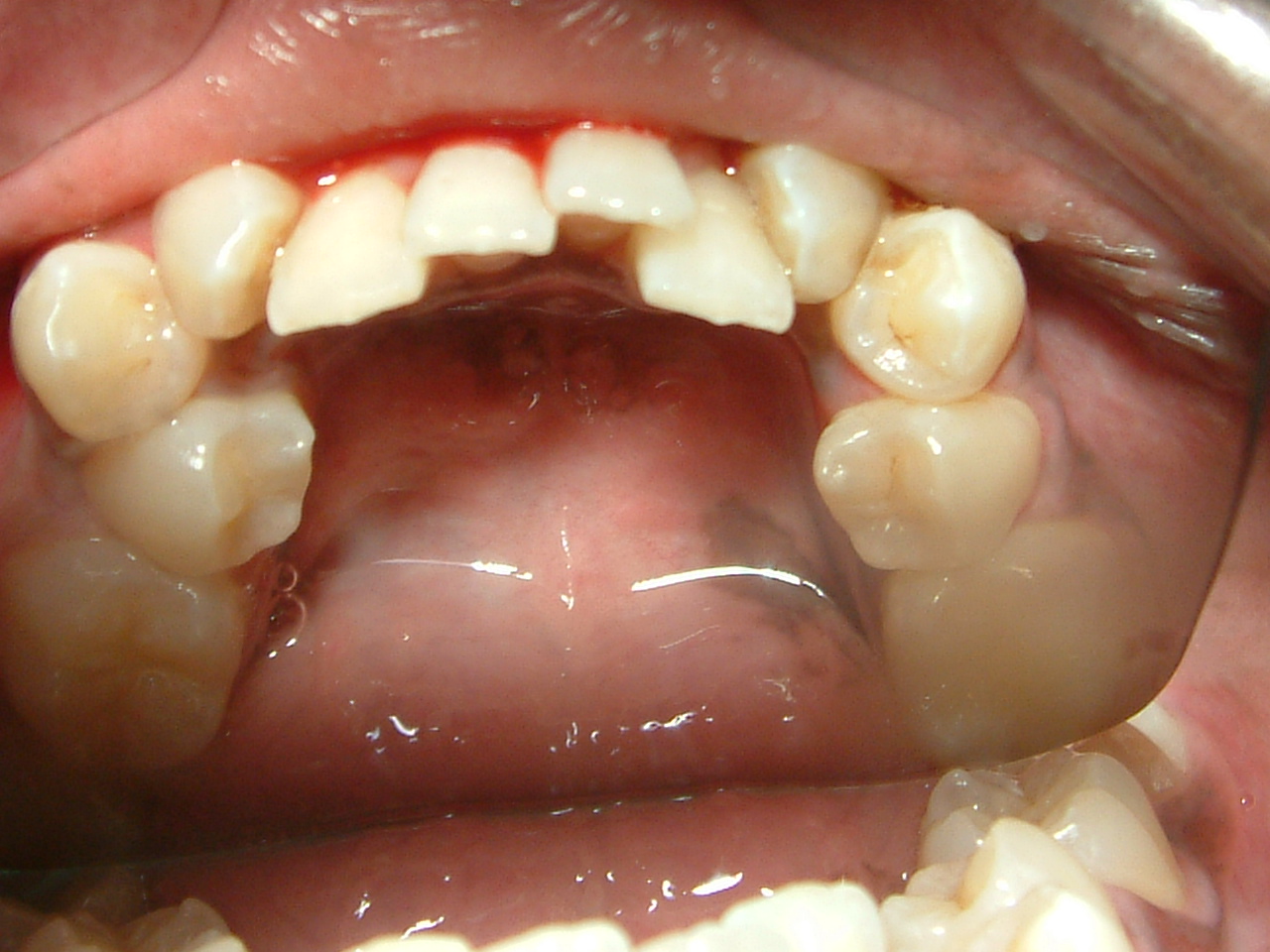
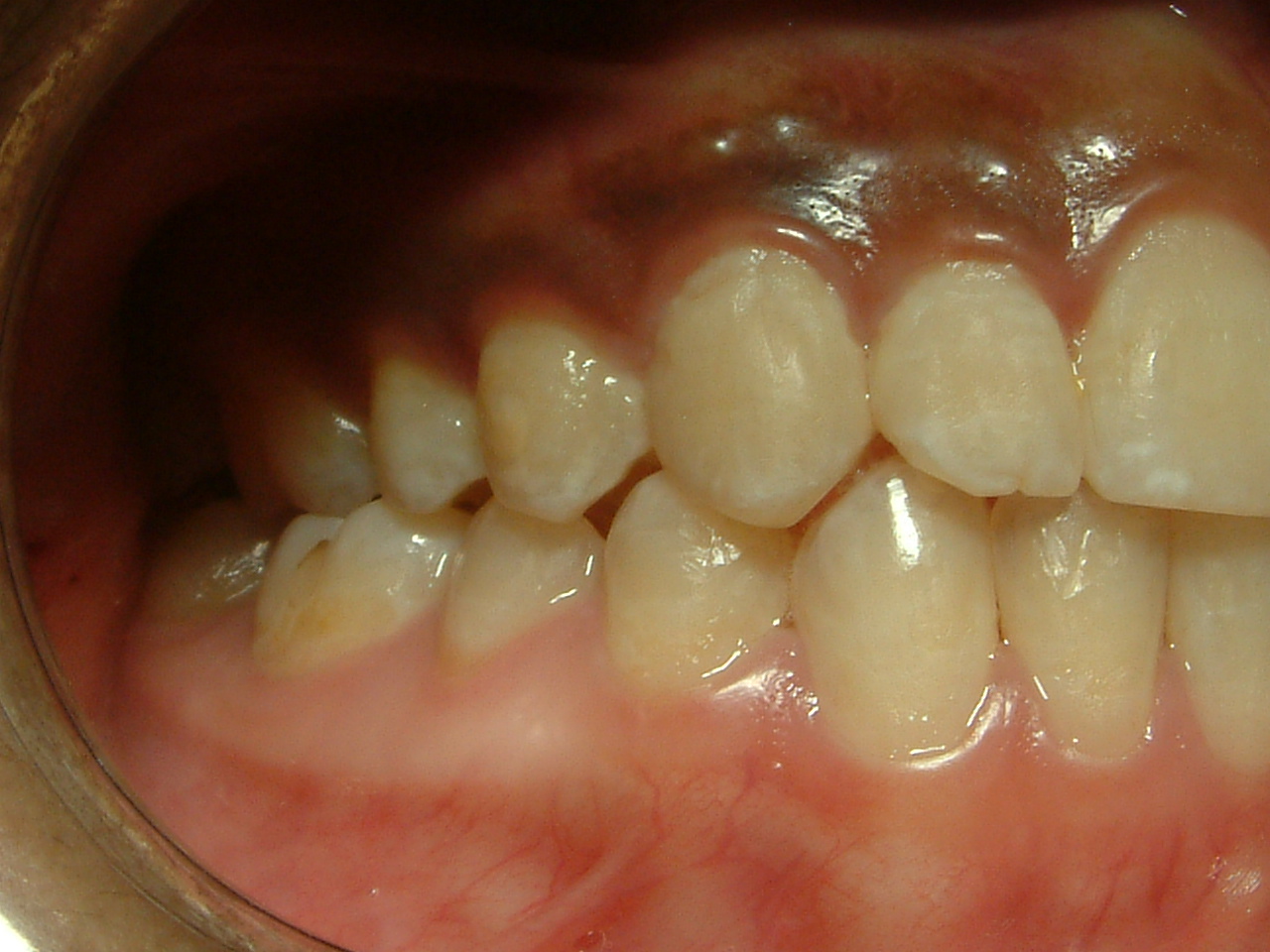
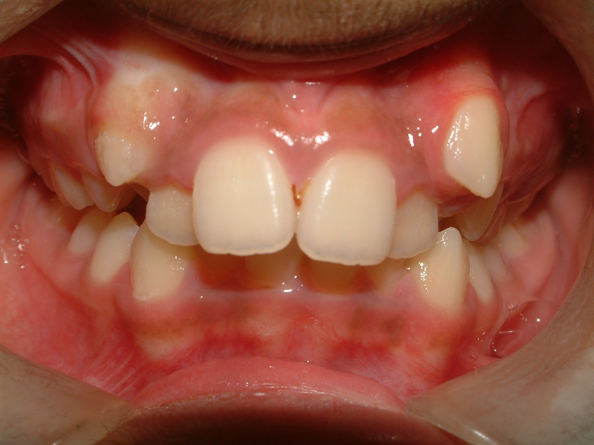
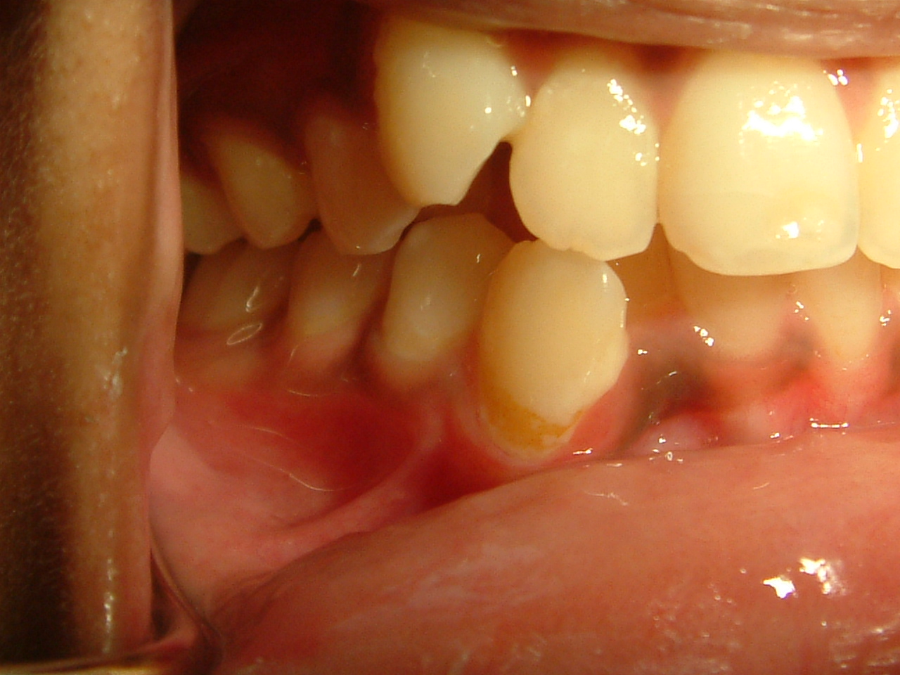
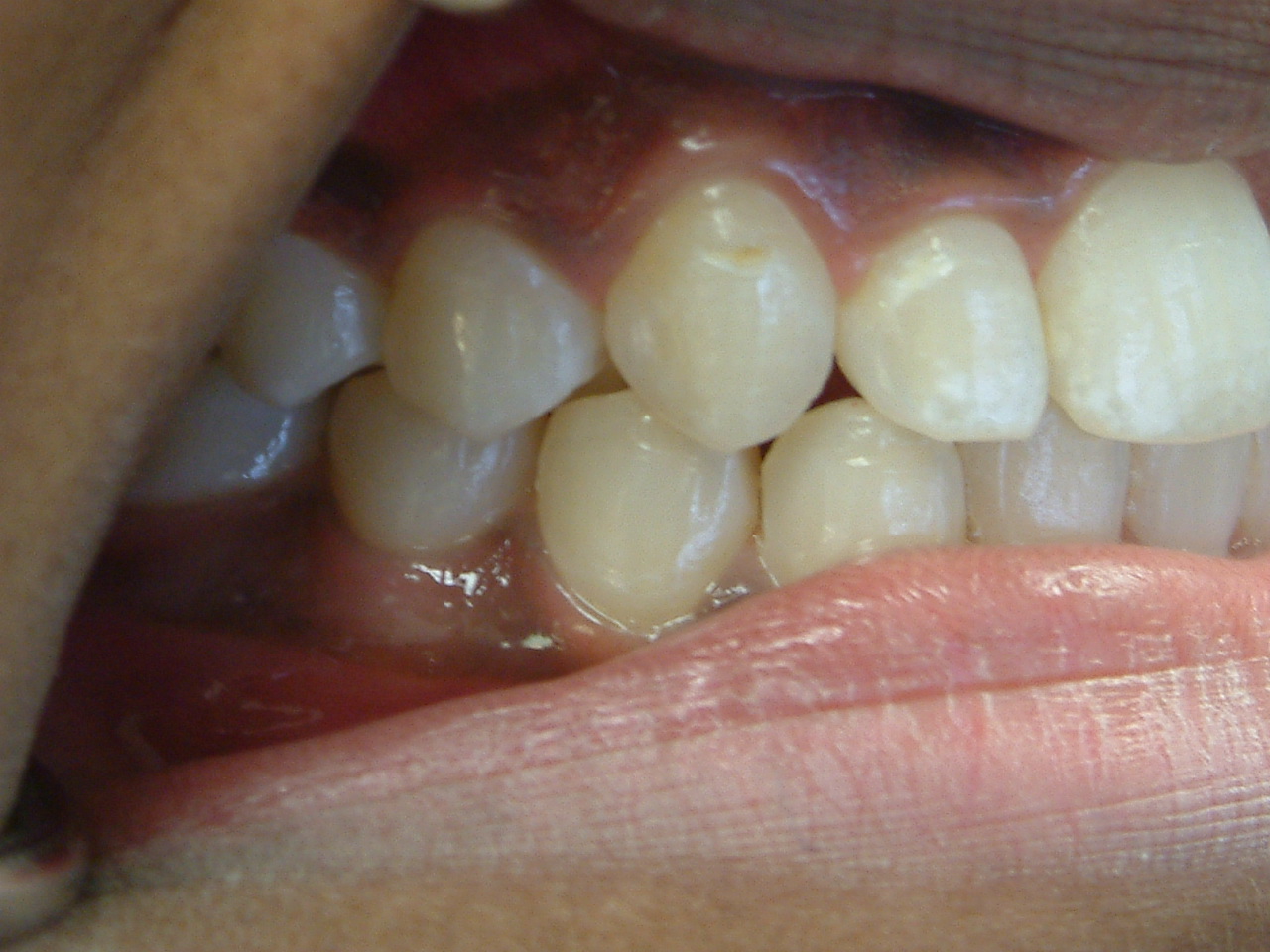
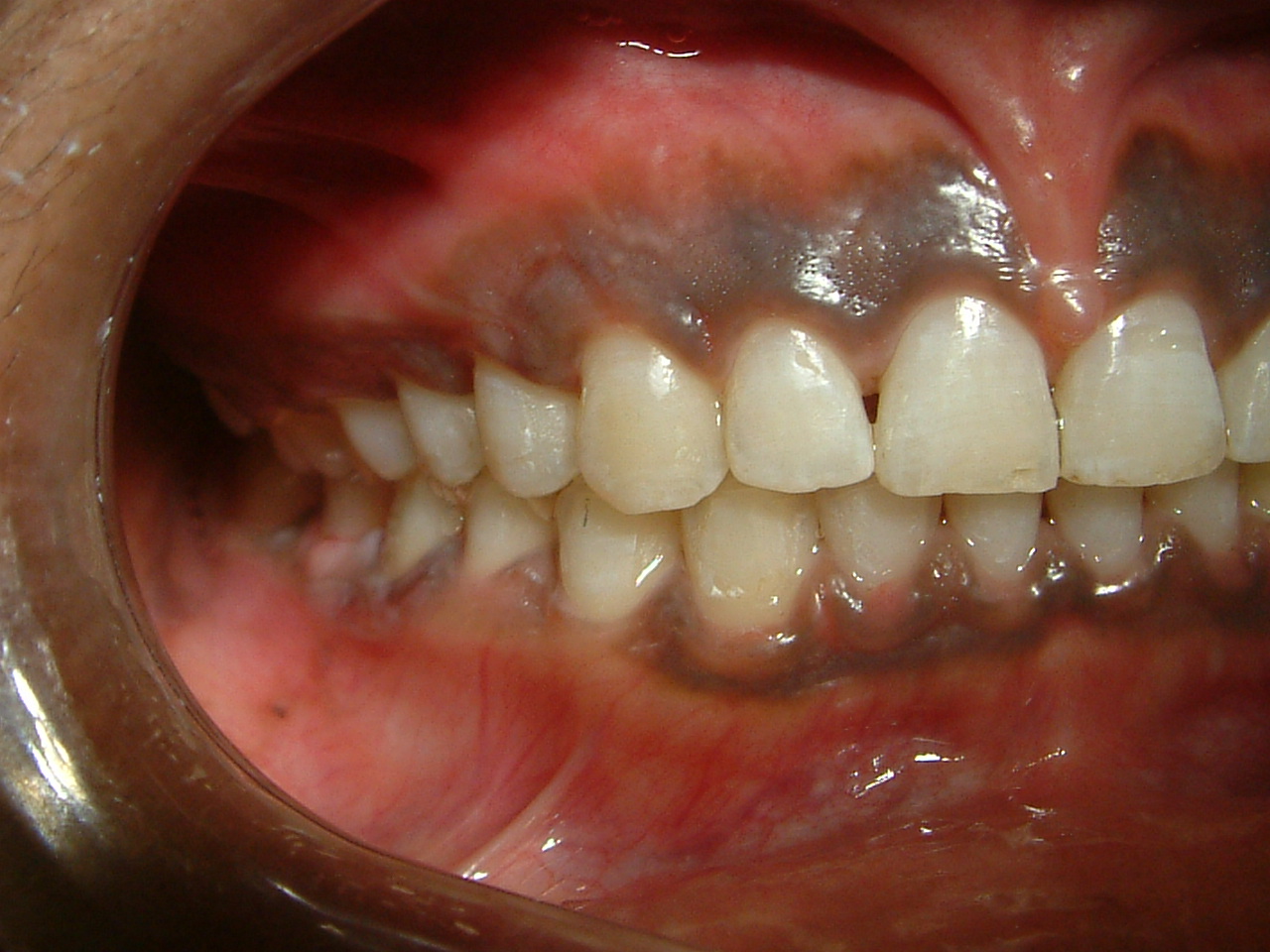
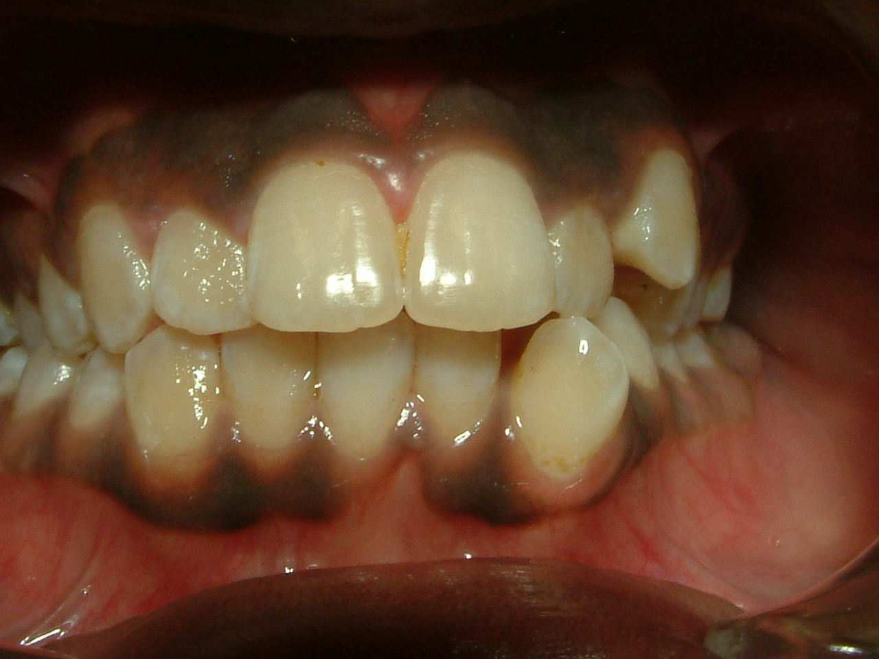
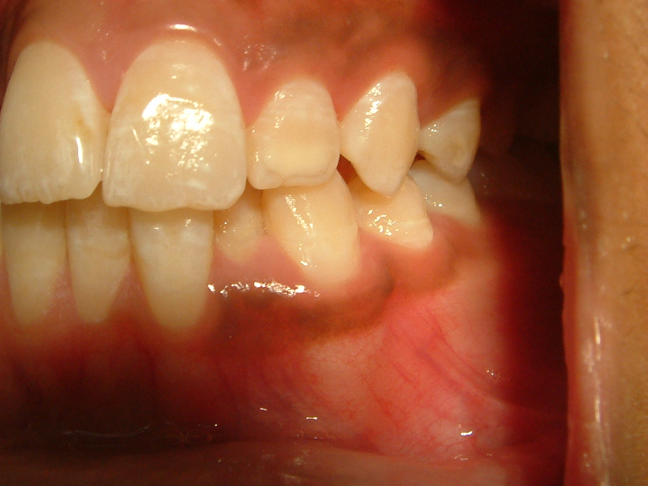
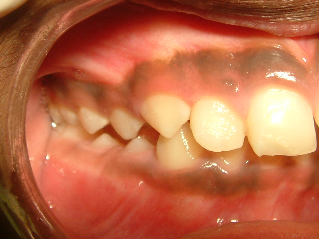
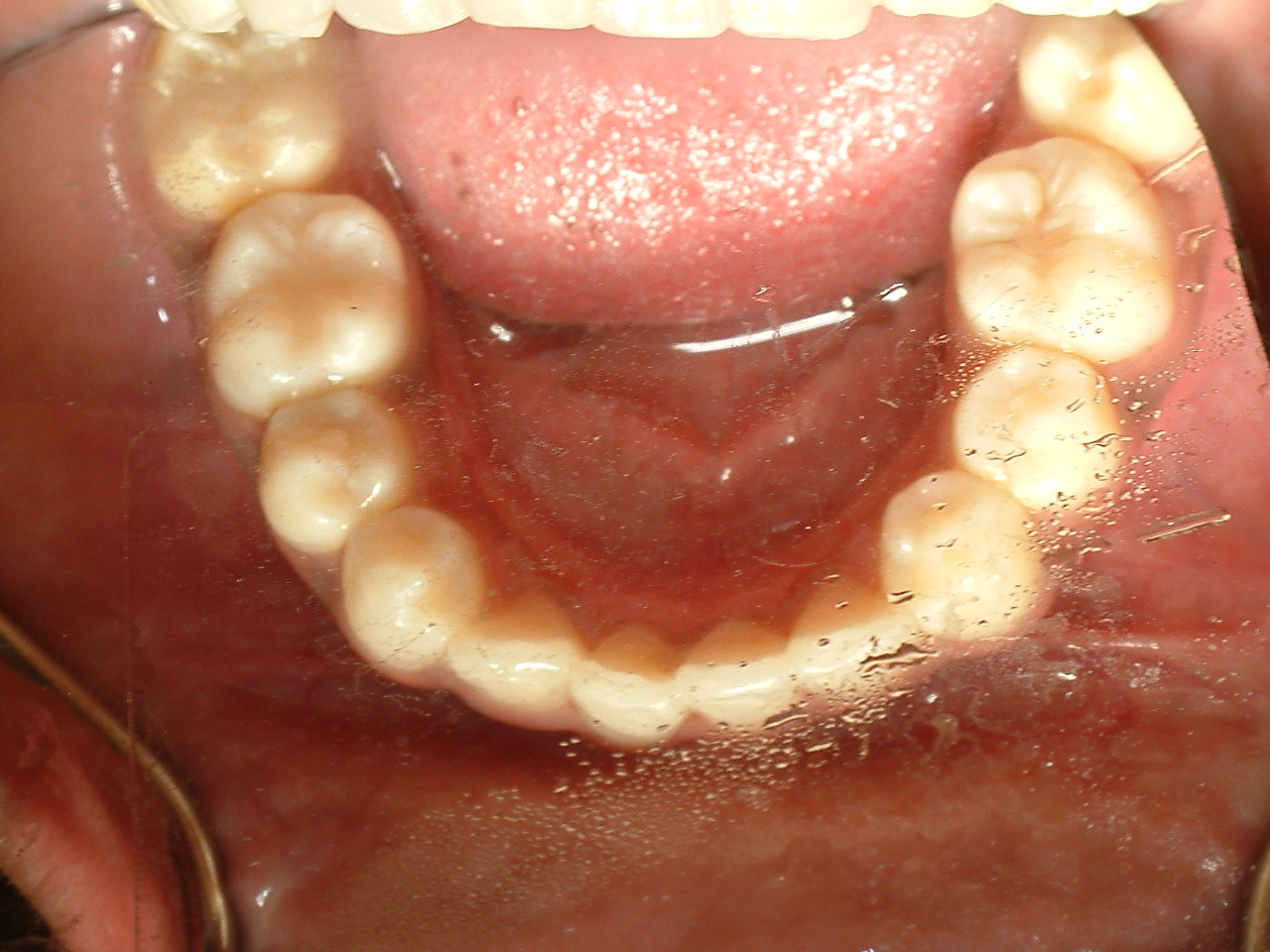
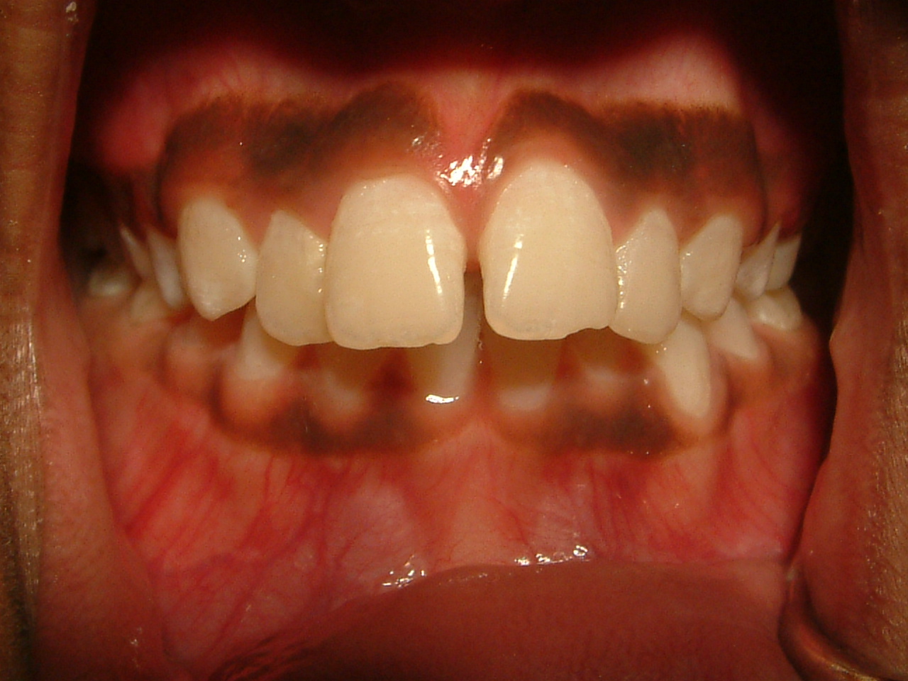
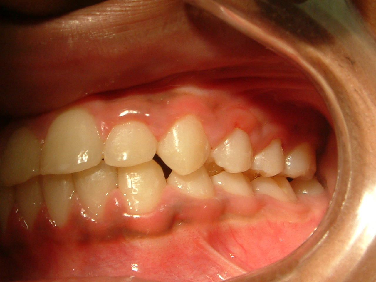
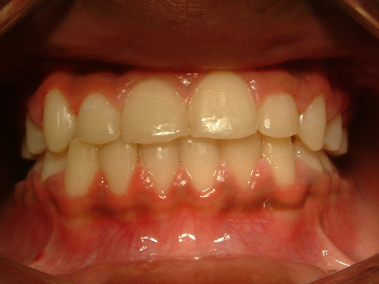
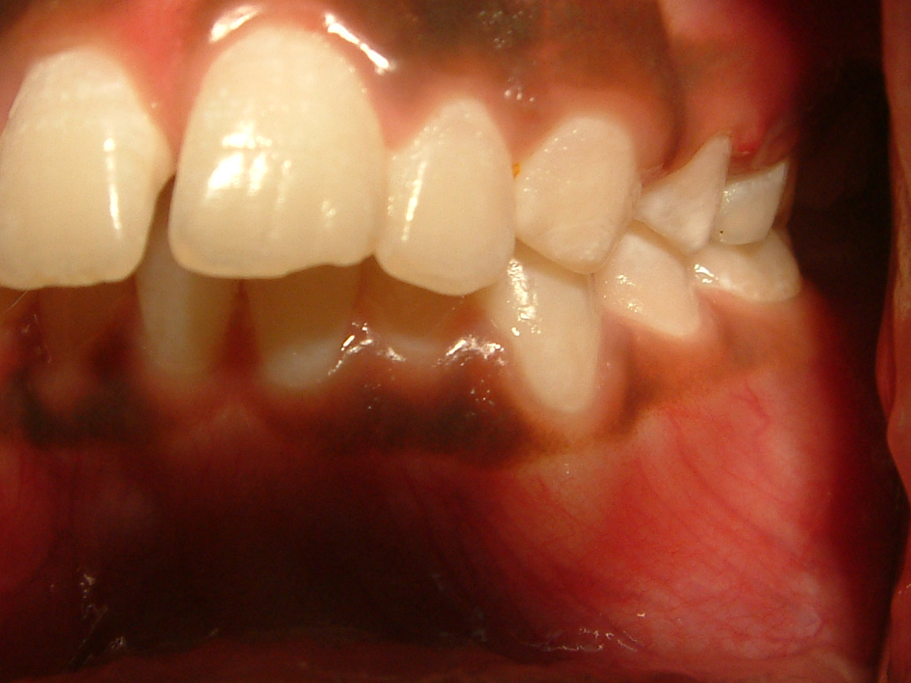
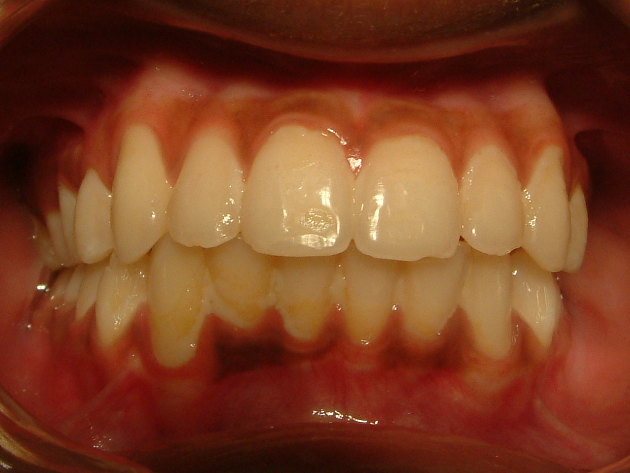
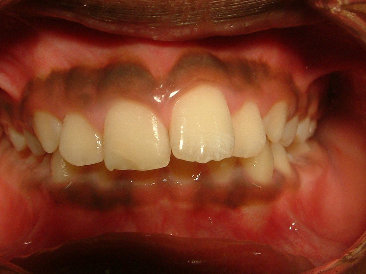
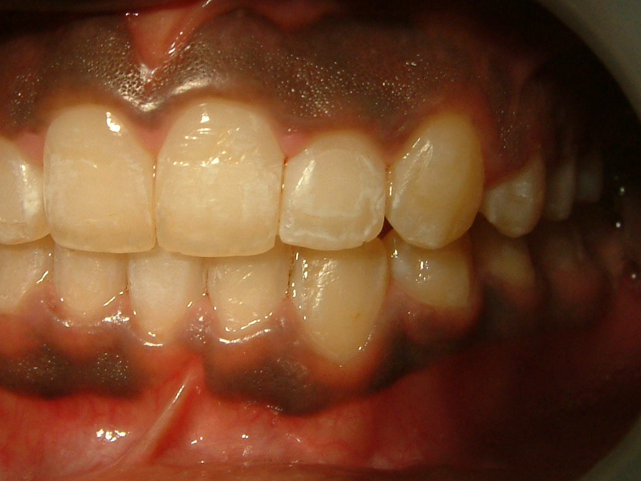
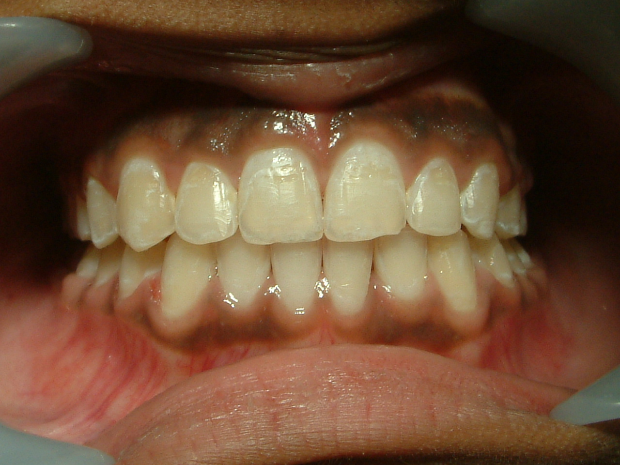
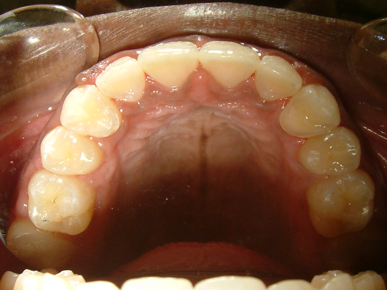
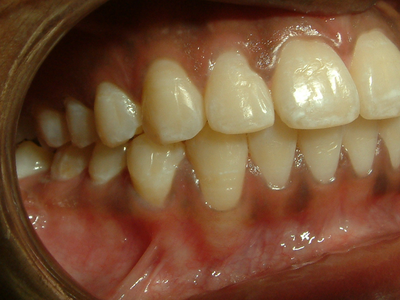
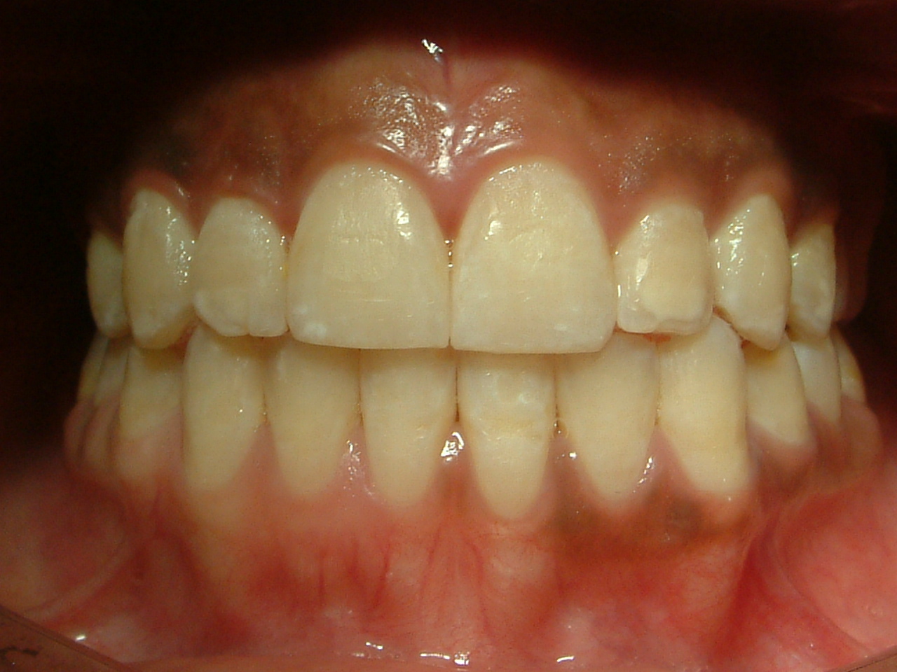
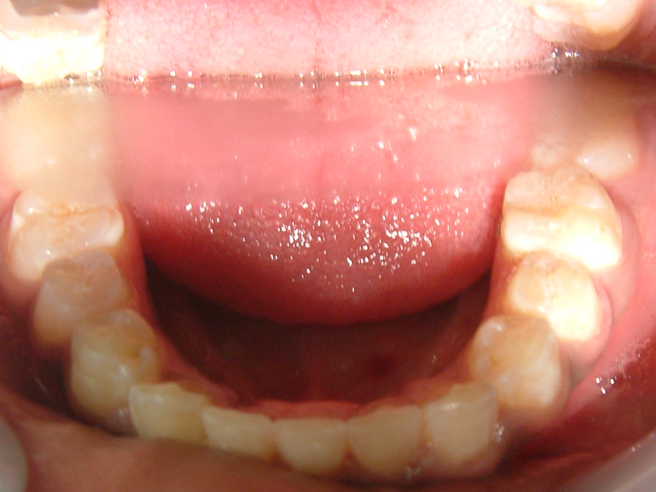
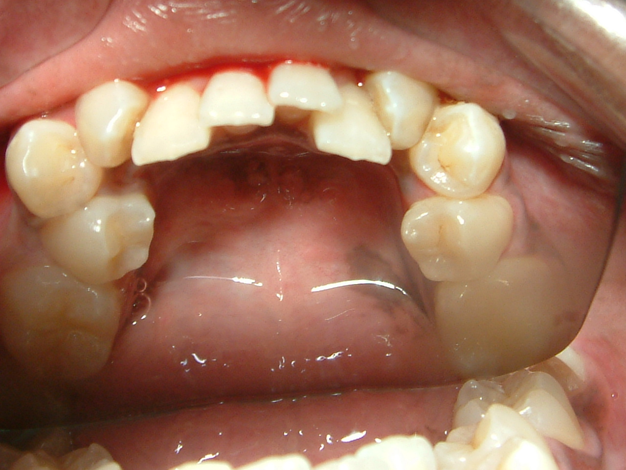
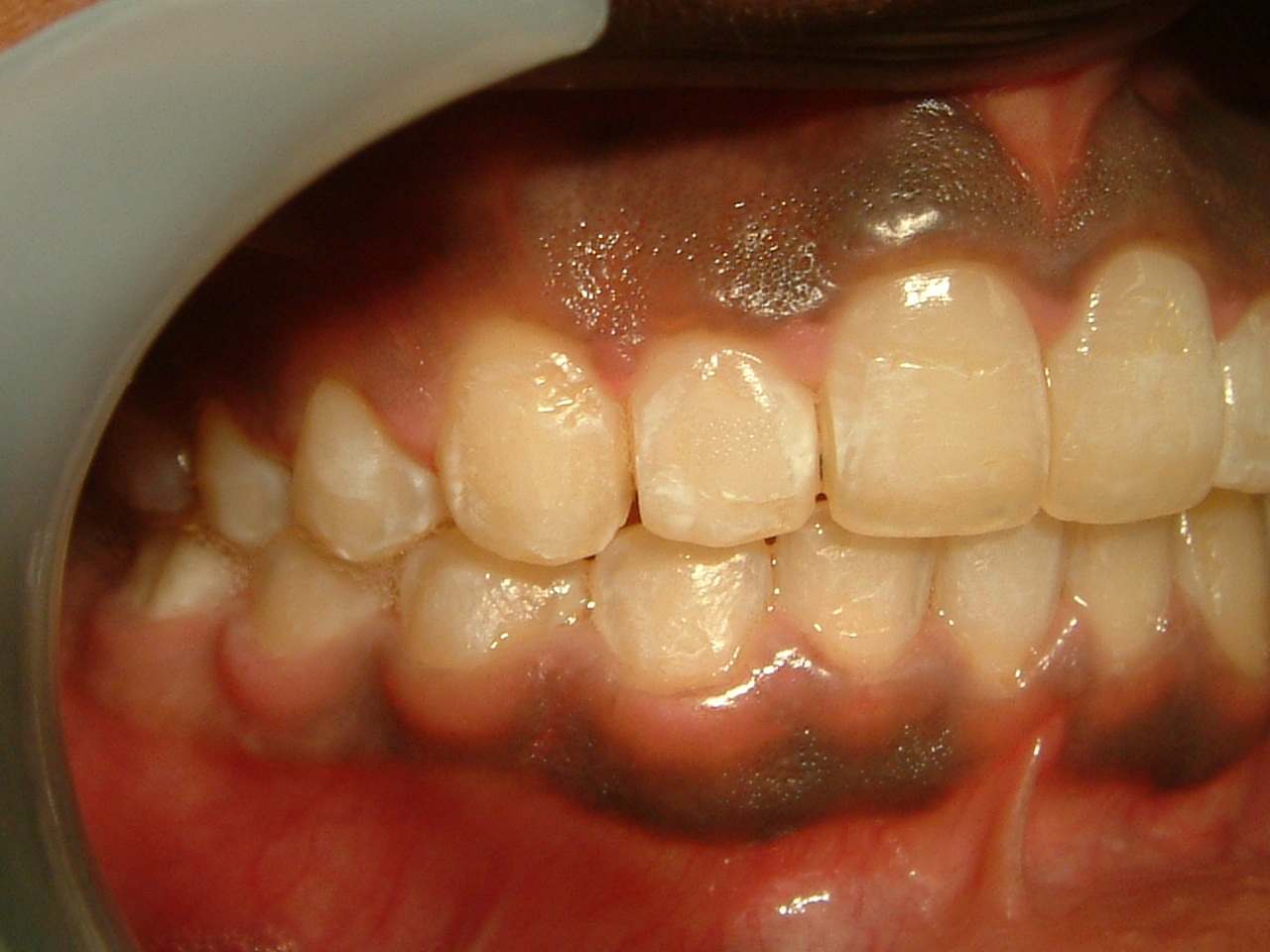
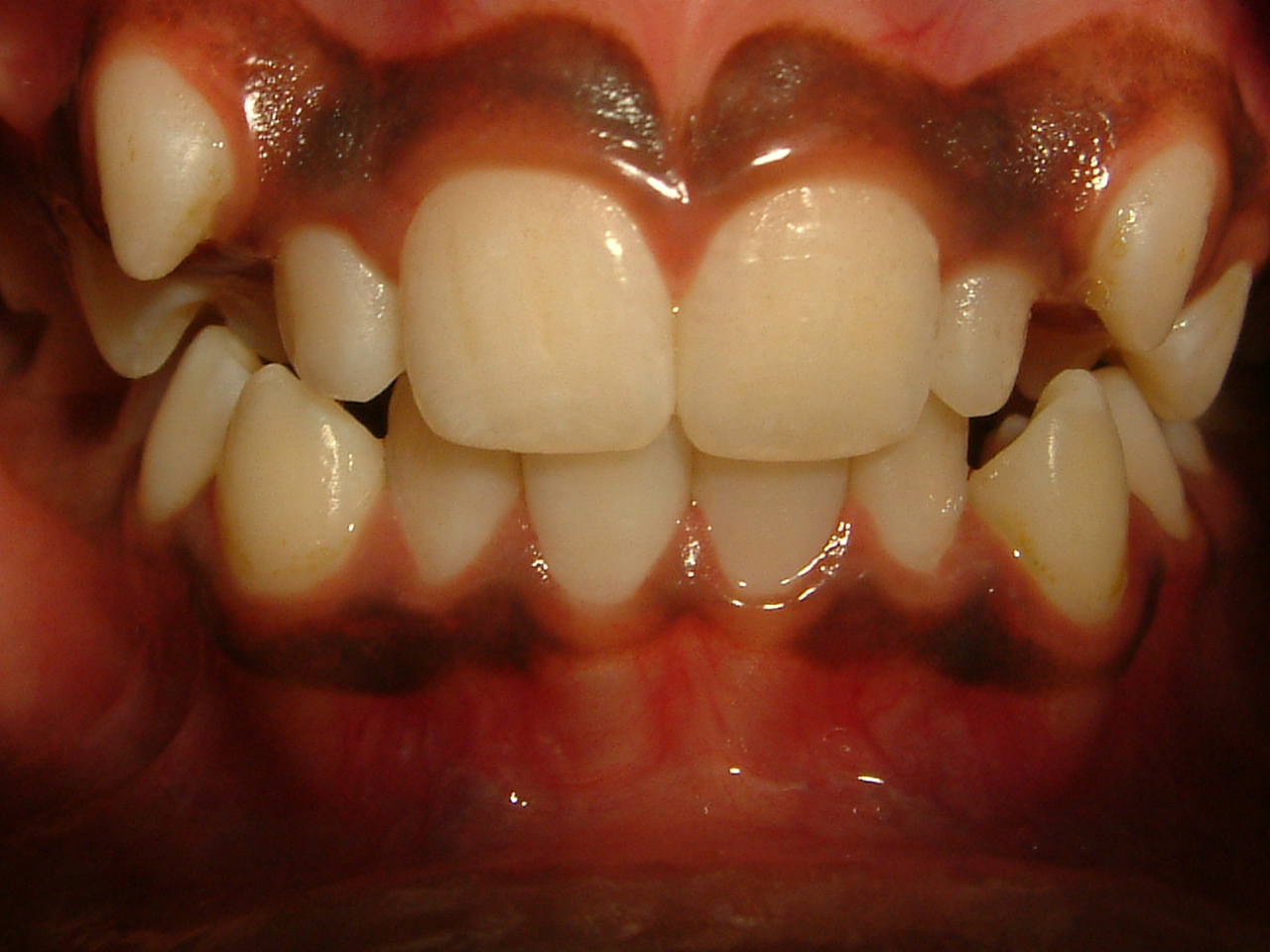
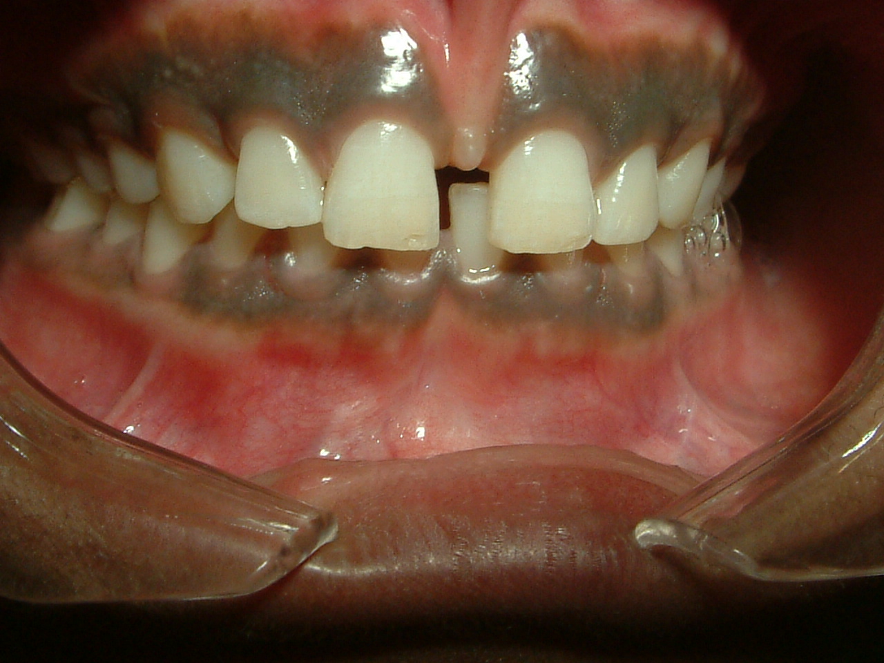
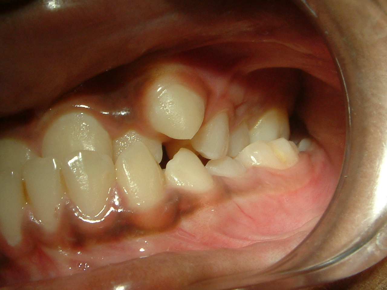
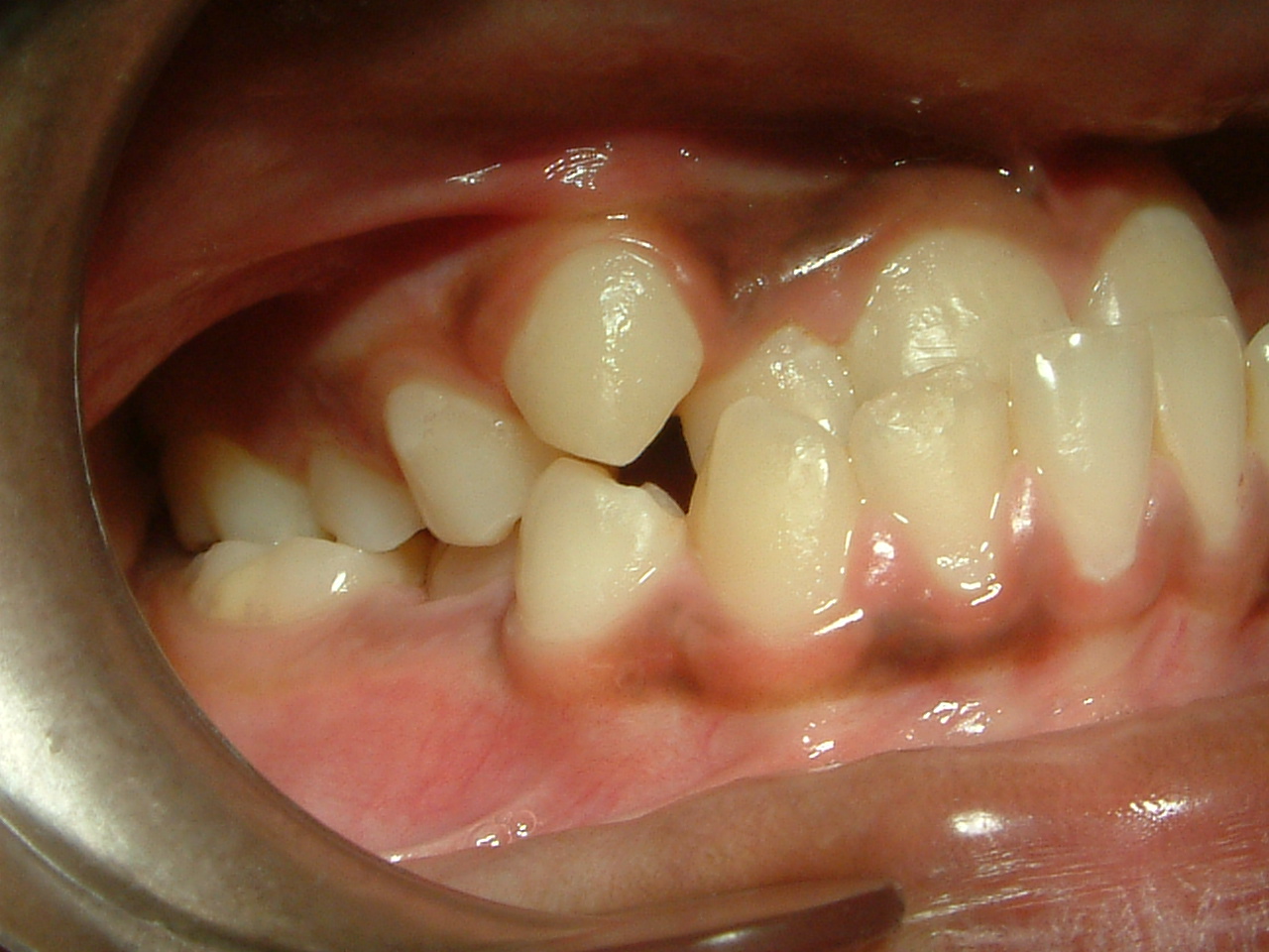
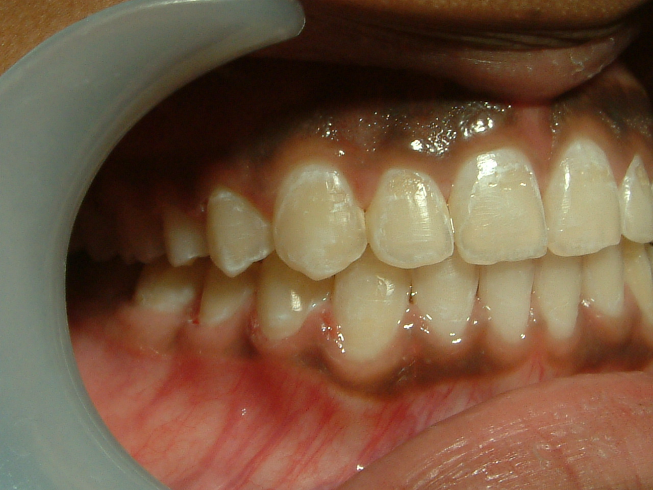
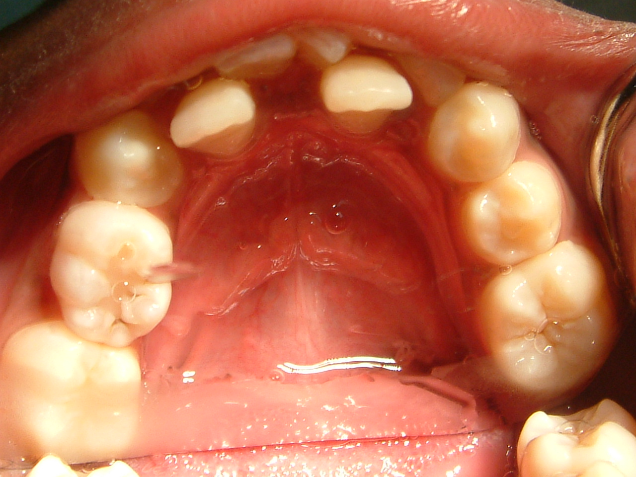
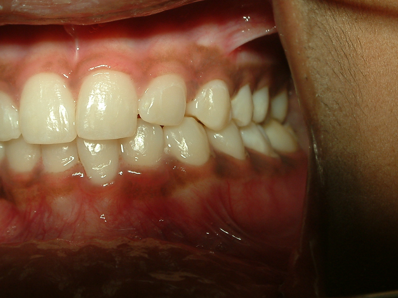
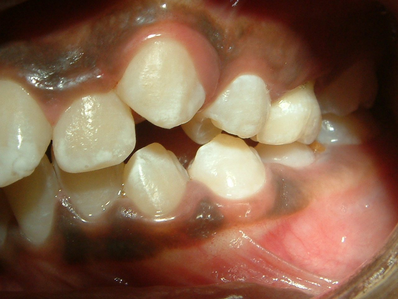
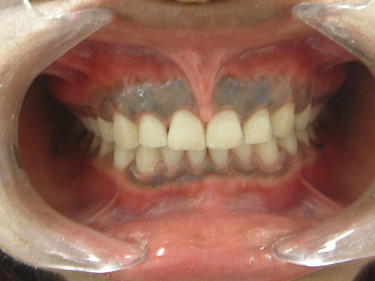
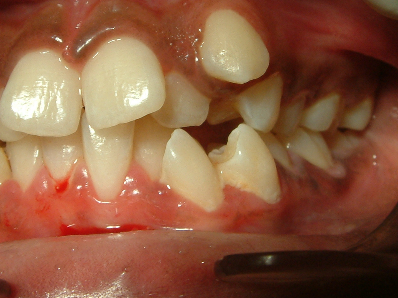
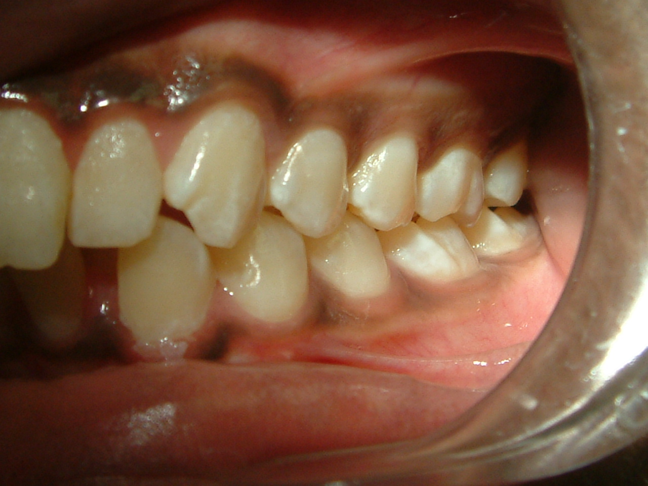
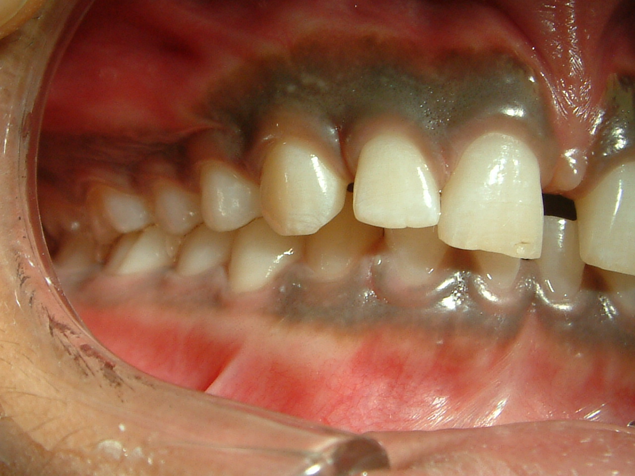
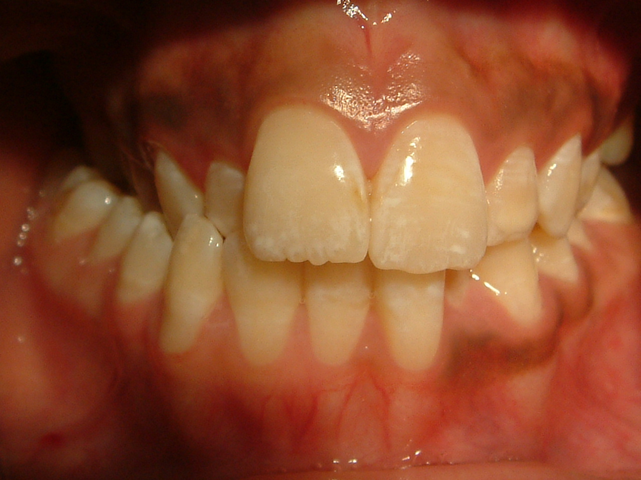
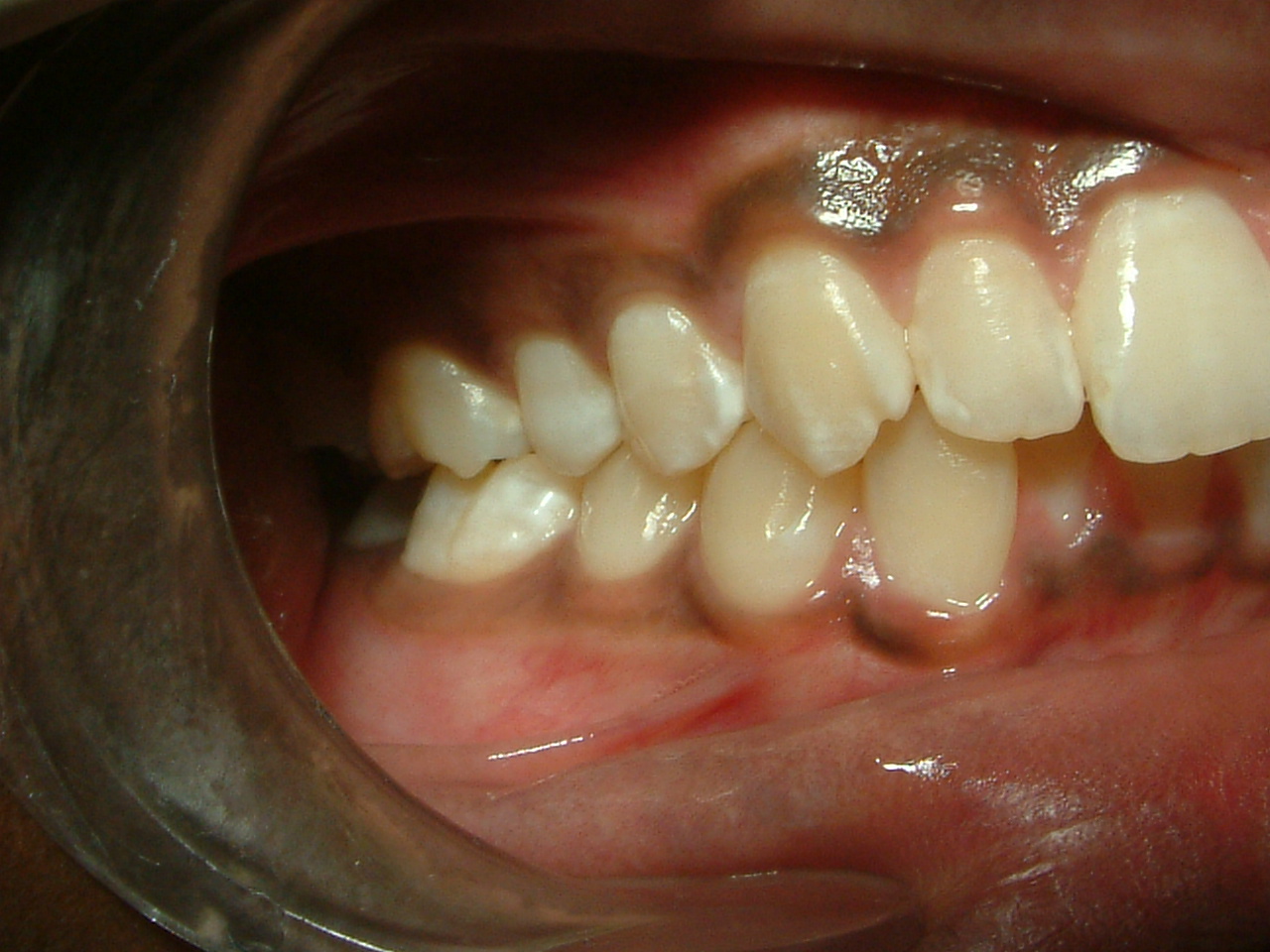
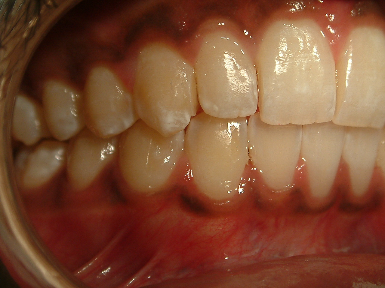
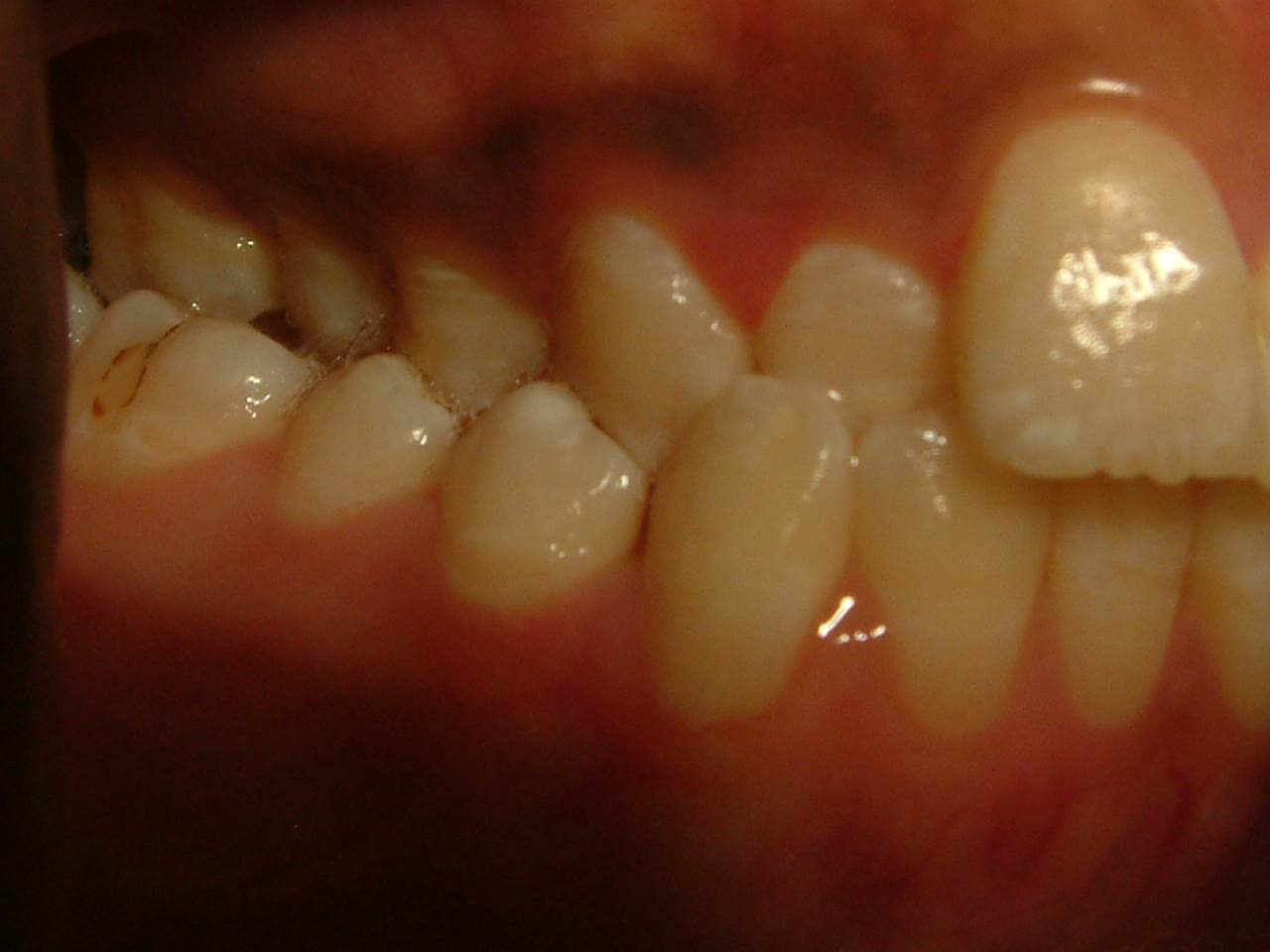
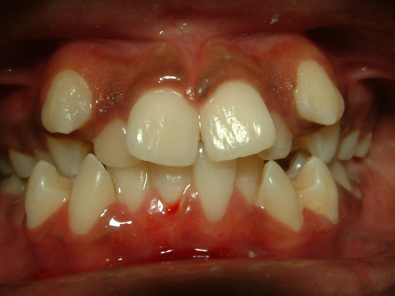
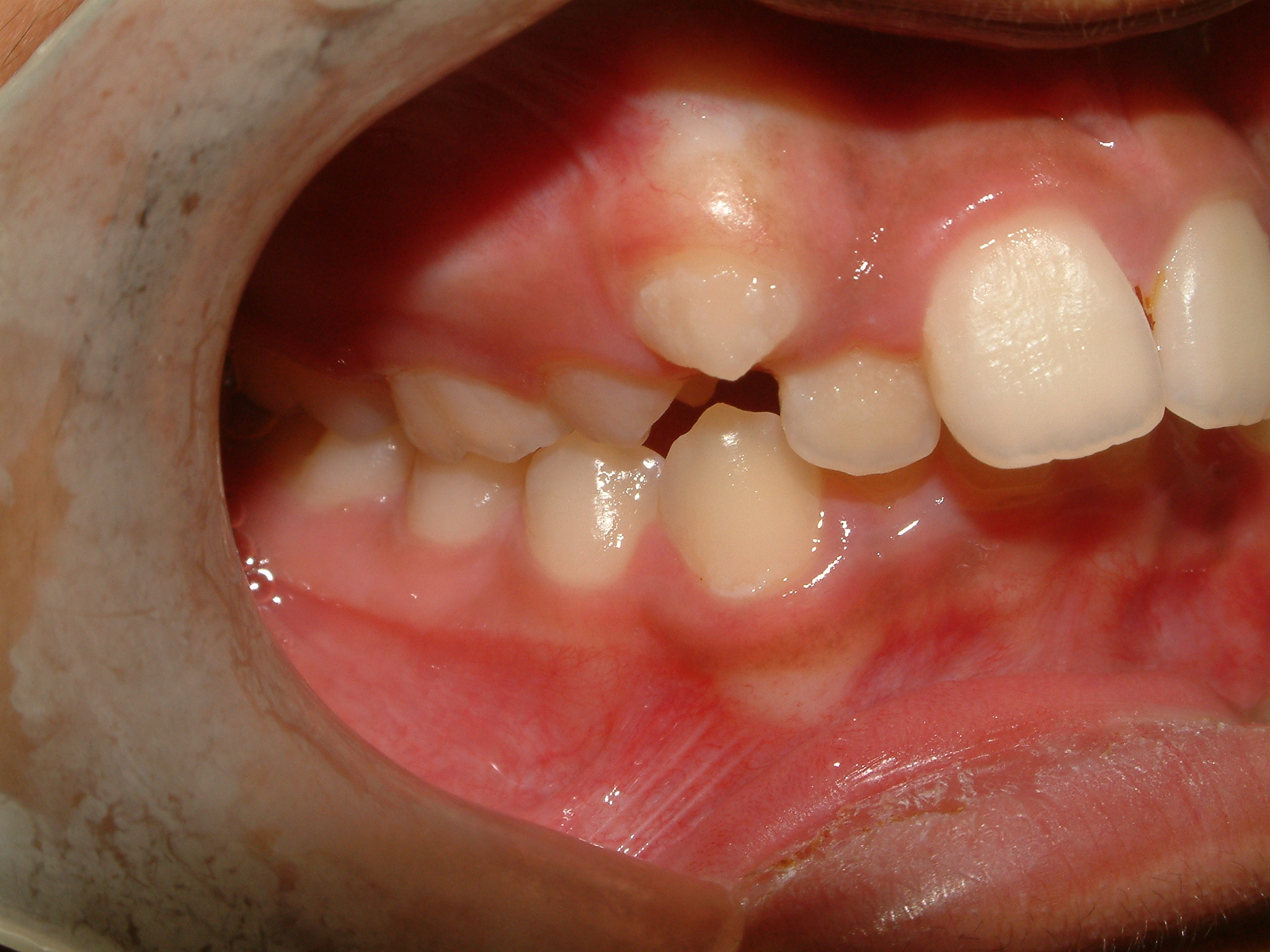
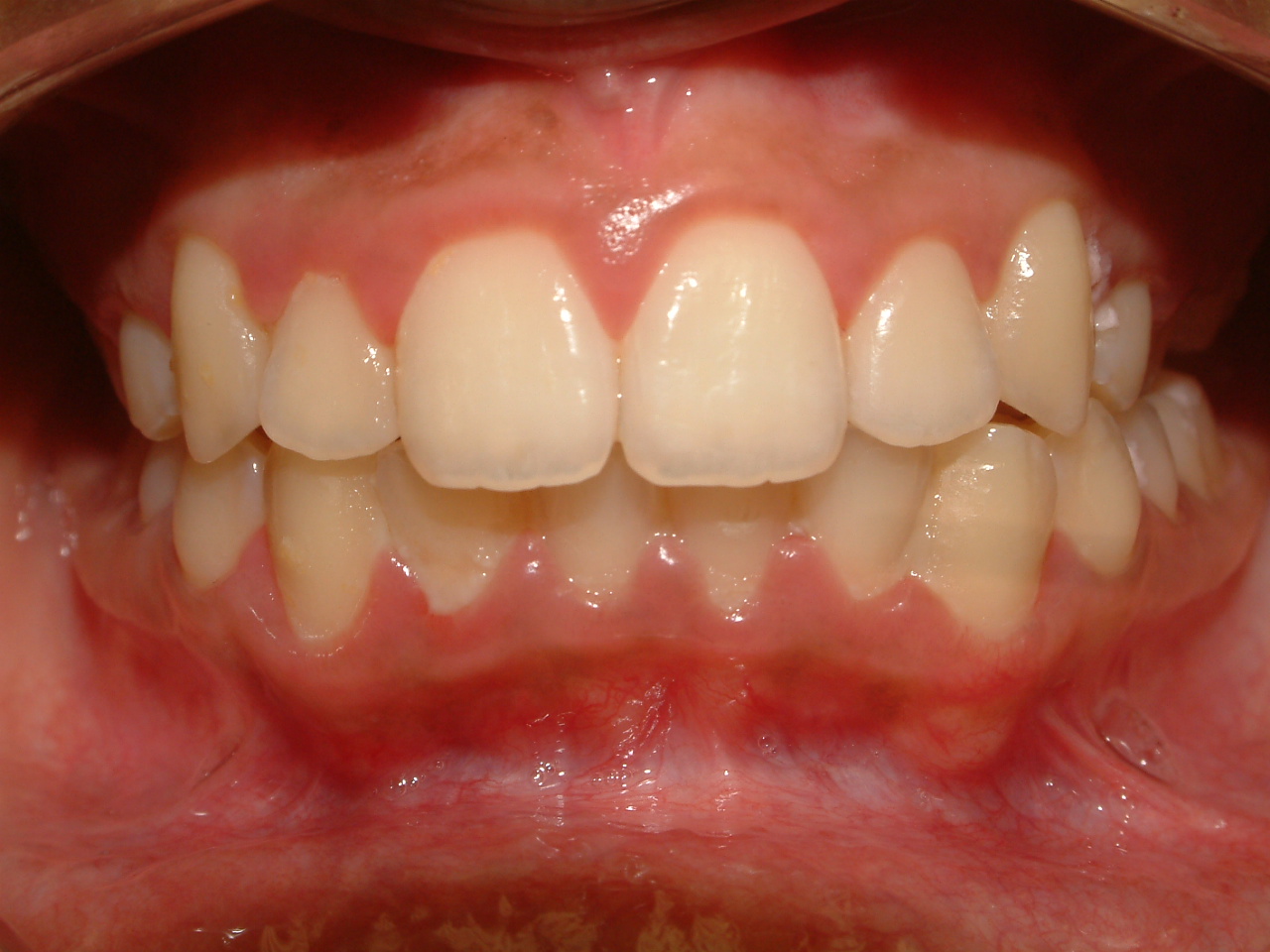
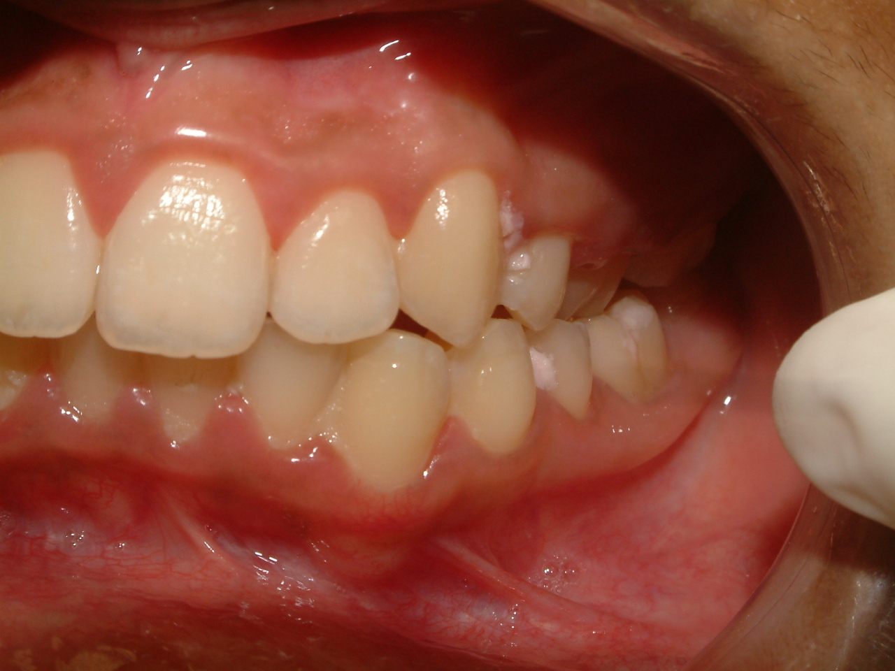
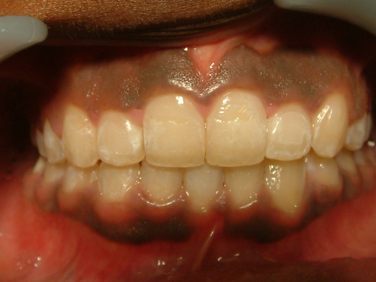
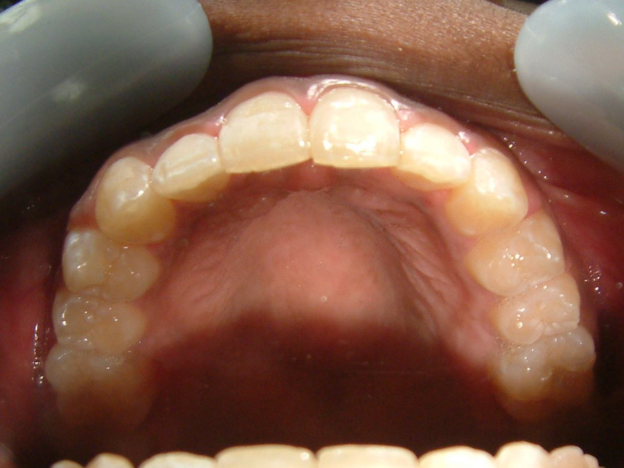
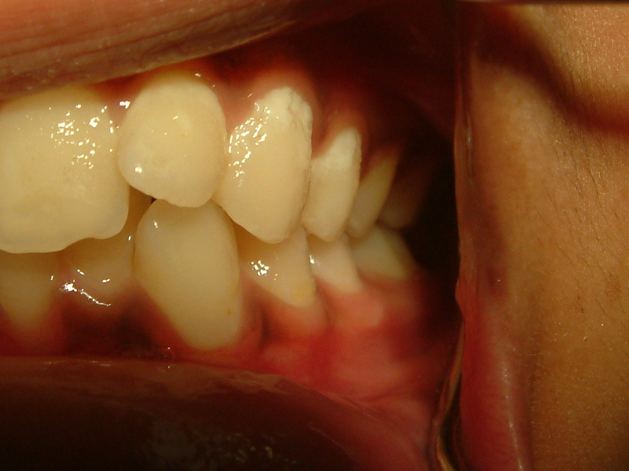
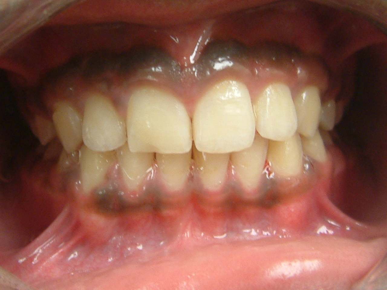
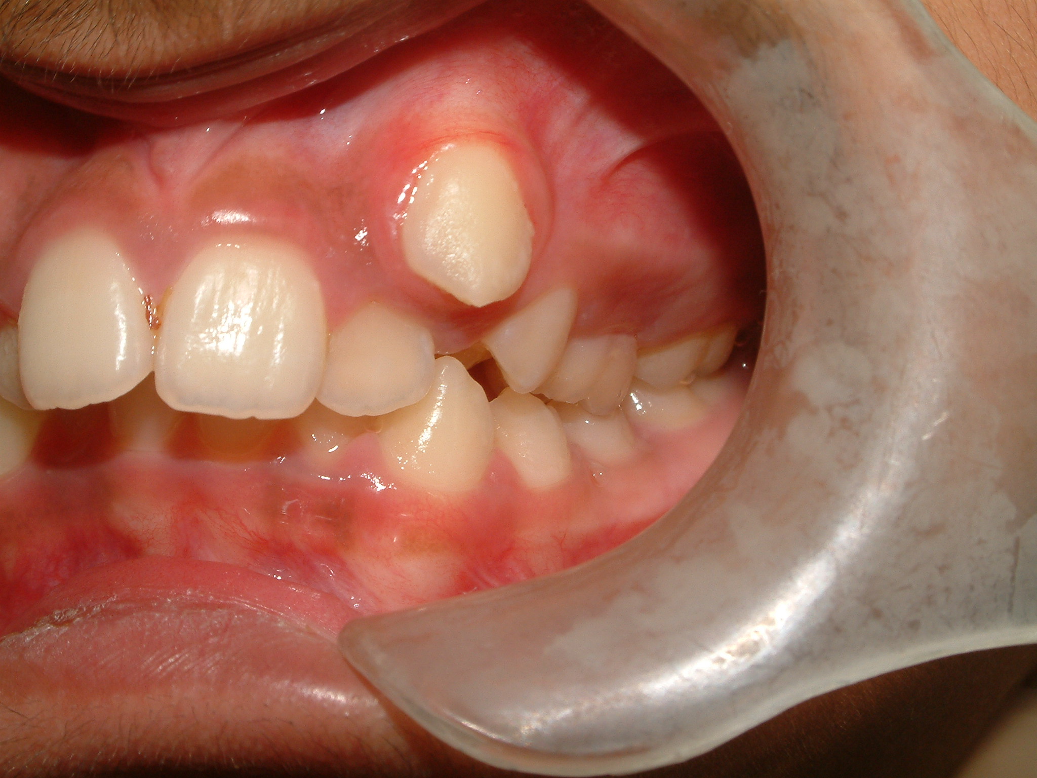
Orthodontics with pictures
These are pictures to show, how we do Orthodontics, results can not be guarantee as patient cooperation, Tissue reaction can be differ person to person.
NON EXTRACTION & WITH HYDREX
NON EXTRACTION WITH HEAD GEAR
NON EXTRACTION METHOD
NON EXTRACTION WITH TWIN BLOCK
NON EXTRACTION (TWIN BLOCK AND U+L FIXED)
HYDREX WITH NON EXTRACTION METHOD
UPPER PREMOLAR EXTRACTION METHOD (2 TEETH EXT)
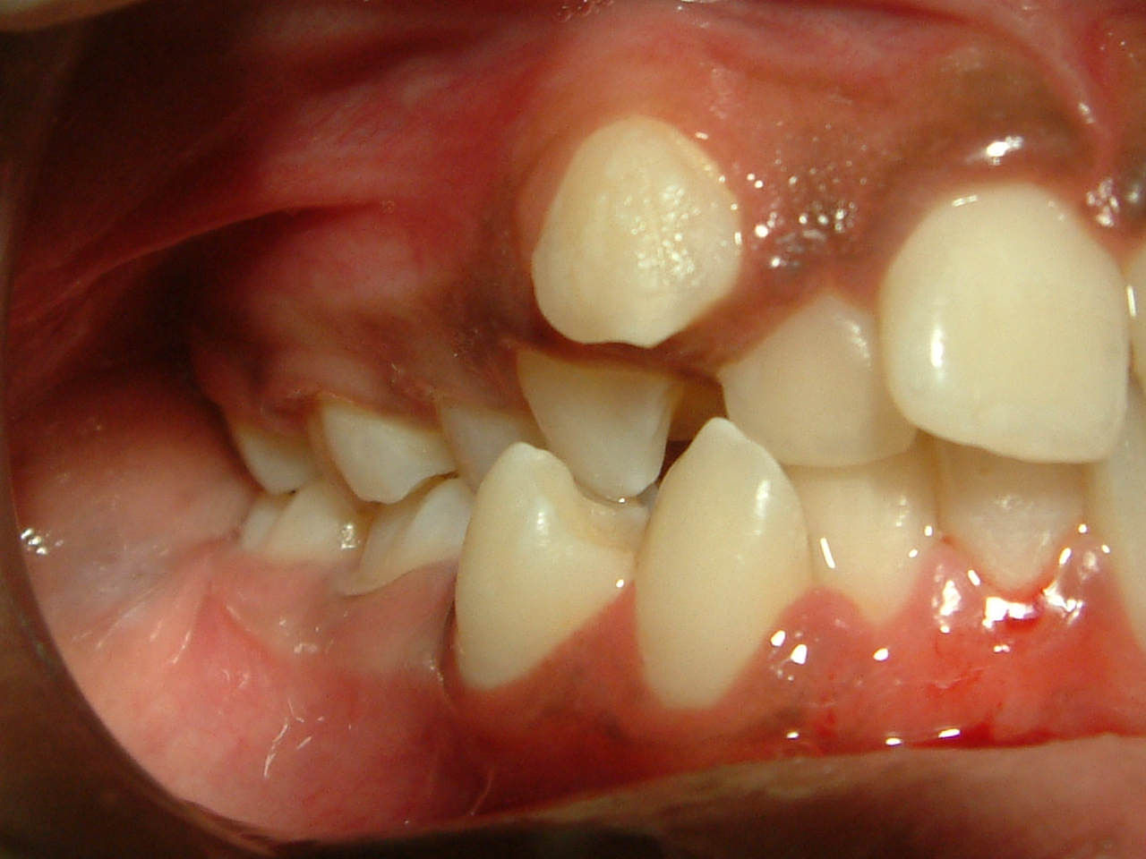
SIEVERE CROWDING/ EXTRACTION TREATMENT/ CANINE REPLACED BY PREMOLARS
CANINE REPLACED WITH PREMOLARS
HEAD GEAR + 2 PREMOLARS EXTRACTION
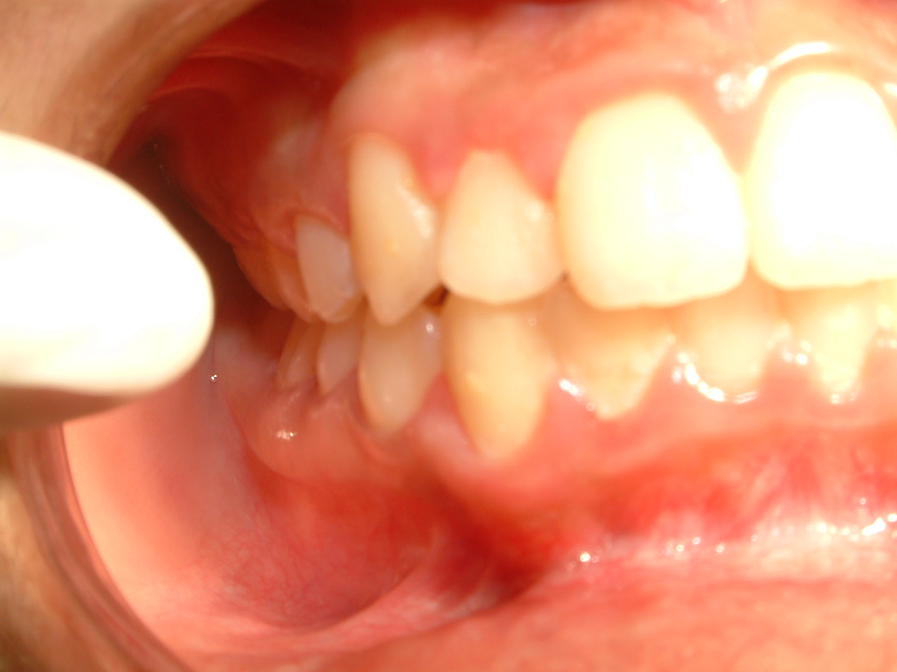
LOWER ANTERIOR (TOOTH # 32)
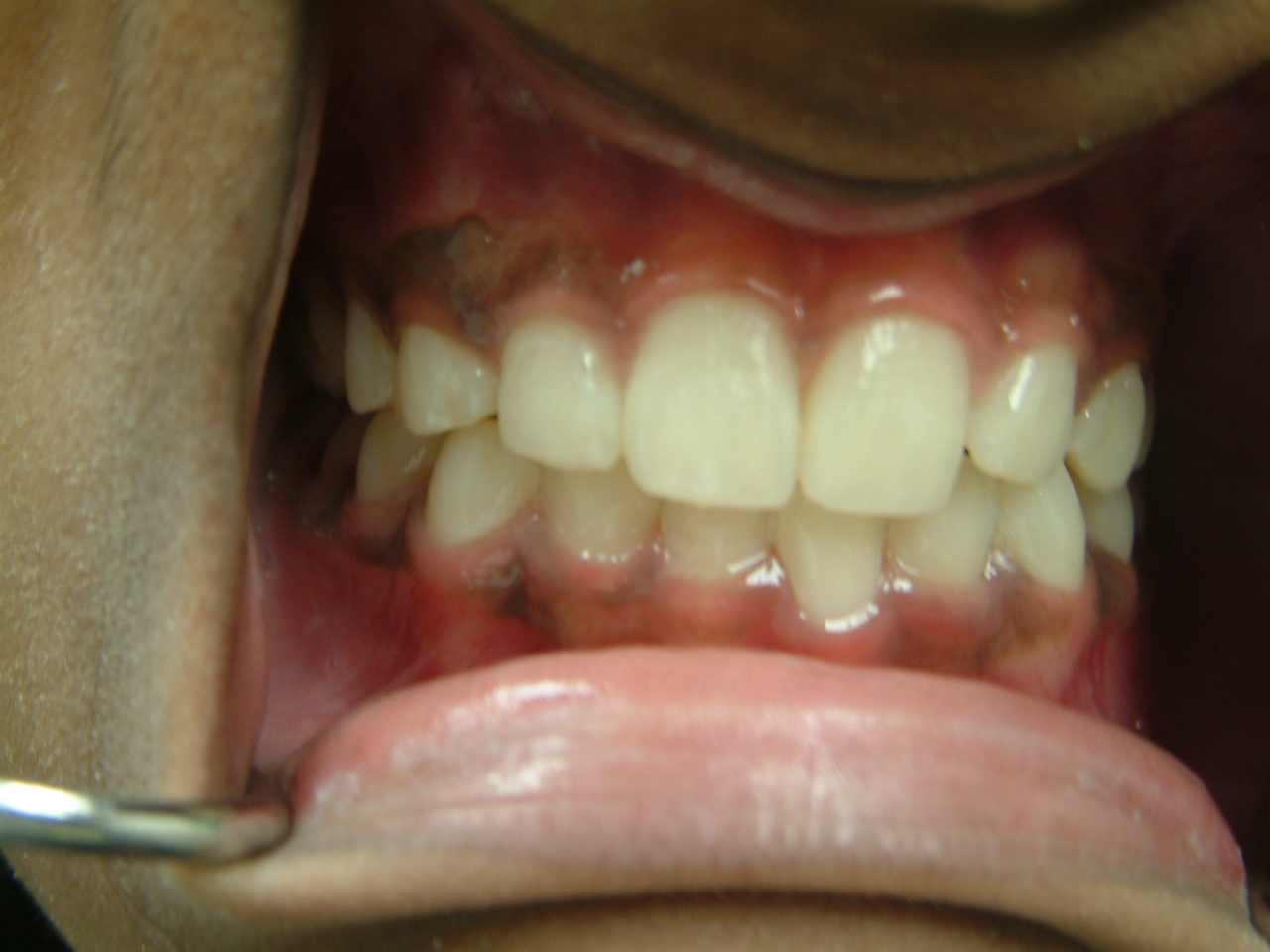
MULTIPLE SPACE CLOSURE
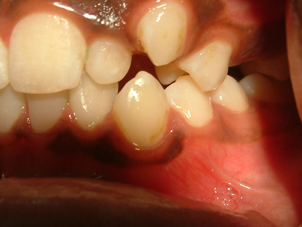
LOWER INCISAL EXTRACTION METHOD
Wisdom teeth surgery
Why Take Them Out?
Wisdom teeth are a third set of molars in the back of your mouth. They usually come in between the ages of 17 and 25, and they're spotted on X-rays. Most
people have them removed for one of these reasons:
- They’re impacted. Because they're so far back in your mouth, wisdom teeth may not come in normally. They can be trapped in your jawbone or gums, which can be painful.
- They come in at the wrong angle. They may press against your other teeth.
- Your mouth isn’t big enough. Your jaw has no room for an extra set of molars.
- You have cavities or gum disease. You may not be able to reach your wisdom teeth with your toothbrush or dental floss.
Implants
What are Dental Implants?
Dental implants are metal posts or frames that are surgically positioned into the jawbone beneath your gums. Once in place, they allow your dentist to mount replacement teeth onto them.
How do Dental Implants Work?
Because implants fuse to your jawbone, they provide stable support for artificial teeth. Dentures and bridges mounted to implants won't slip or shift in your mouth — an especially important benefit when eating and speaking. This secure fit helps the dentures and bridges — as well as individual crowns placed over implants — feel more natural than conventional bridges or dentures.
For some people, ordinary bridges and dentures are simply not comfortable or even possible, due to sore spots, poor ridges or gagging. In addition, ordinary bridges must be attached to teeth on either side of the space left by the missing tooth. An advantage of implants is that no adjacent teeth need to be prepared or ground down to hold your new replacement tooth/teeth in place.
To receive implants, you need to have healthy gums and adequate bone to support the implant. You must also commit to keeping these structures healthy.
Meticulous oral hygiene and regular dental visits are critical to the long-term success of dental implants.
Implants are usually more expensive than other methods of tooth replacement, and most insurance carriers typically cover less than 10 percent of the fees.
Root Canals
Root Canal Treatment

Root canal treatment is an often straightforward procedure to relieve dental pain and save your teeth. Patients typically need a root canal when there is inflammation or infection in the roots of a tooth. During root canal treatment, an endodontist who specializes in such treatment carefully removes the pulp inside the tooth, cleans, disinfects and shapes the root canals, and places a filling to seal the space.
Crown and Bridgework
What is Dental Crown?
If you have a tooth that is damaged, broken, or if your tooth is in danger of breaking, a dental crown can restore your tooth.
In most cases, a porcelain material is used for the crown if the tooth is visible. The color can be made to match the natural color of your tooth and it is designed to slip directly over your existing tooth.
A porcelain crown will restore your tooth so it functions properly. The bonding process actually strengthens and protects the tooth and it looks beautiful too. Porcelain is translucent and mimics the natural look of your tooth so that no one will ever know that you have a crown.
If you require a crown on a back tooth, then a porcelain fused to metal crown is an option for the restoration. There are pros and cons to using this method. The metal provides extra strength to the tooth. Although, the color of the metal may make the tooth appear an opaque color.
A gold crown is another great method for a crown if appearance isn’t an issue or it is on a back tooth where it is not visible. A gold crown is one of our preferred treatments since the metal is very workable. It fits the tooth better than any type of metal, the cast is extremely accurate, and gold will not corrode over time. A gold dental crown can last for many years.
Dental Crown Process
You can generally expect two appointments for a dental crown. First, the tooth is prepared and an impression is taken. At this time, we will place a temporary crown for you to wear until the permanent one is ready. The laboratory will use the impression to customize your crown to precisely fit your tooth and match your bite.
At your next appointment, the dentist will remove the temporary crown, fit the permanent crown onto your tooth, and then cement it into place.
Restorations: What are the benefits of white fillings?
Silver amalgam fillings actually contain up to 50% of mercury and some people are concerned about the potential health effects of having mercury in your mouth.
White fillings are set in place with bonding technology that strengthens the tooth. Amalgam fillings can weaken the tooth and are more susceptible to breaking.
Sometimes patients with amalgam fillings complain about that tooth being more sensitive. This is due to the fact that the metal used in the amalgam is a conductor of heat and cold. Since white fillings are made of composite, your tooth will be less sensitive.
Traditional amalgam fillings require more drilling than white composite fillings. This is due to the fact that amalgam requires a certain thickness in order to be strong enough and the cavity must be made wider so the filling stays in place. The white composite bonds directly to the tooth. This means it can be bonded in place after the decay is removed and no healthy part of the tooth will need to be drilled away. This makes white composite ideal to fill small cavities.
Another great benefit of white composite is that they look much nicer. The bonding technology allows us to perfectly blend the color to match your existing tooth color. When it’s all said and done, no one will be able to tell that you had a cavity filled since it will be virtually invisible.
What are the disadvantages of white fillings?
White composite fillings can break more easily than amalgam or gold fillings, and may not last as long. Recurrent decay is more of a problem than with amalgam or gold fillings.
The composite may shrink when placed, producing gaps between the tooth and the filling. This can lead to more cavities in areas where the filling is not making good contact with your tooth. The shrinkage is reduced when this type of filling is placed in thin layers.































































































